case 20代女性「歯の隙間を矯正で治したい」インビザライン矯正で治療した症例
2022.08.16
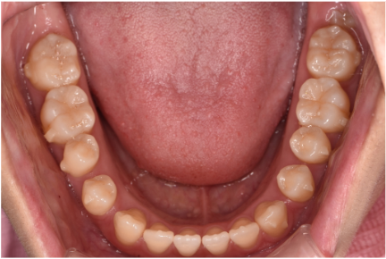
治療前
治療後
| 年齢と性別 | 20代 女性 |
|---|---|
| ご相談内容 | 「歯と歯の間の隙間を矯正で治療したい」とご来院されました。「隙間があるせいで、言葉を発する際に空気が抜けてサ音が上手に発音できない」とお悩みを抱えているようでした。 |
| カウンセリング・診断結果 | 検査をしたところ骨格的な問題はありませんでしたが、奥歯を噛み合わせた時に上下の前歯が噛み合わない「開口(オープンバイト)」の状態であるとご説明しました。 |
| 行ったご提案・治療内容 | 矯正治療についてご希望をお伺いすると、装置が目立たない方法を希望されました。 症状としても対応可能だったので、マウスピース矯正システム「インビザライン」を使った治療を選択。上下の歯で噛み合う状態にするため、前歯の隙間を埋めてから奥歯は歯の根っこの方向に移動させる計画を立てました。 ただし、治療が進むにつれて歯の大きさと、顎の大きさから最終的に小臼歯部分に隙間が残ることが想定されるので、その場合はセラミックを表面に貼り付けて隙間をなくすという治療を行うことをご説明しました。 |
| 治療期間 | 2ヶ月目(2022年6月時点) ※1年~1年半を予定しています |
| おおよその費用 | 約990,000円 |
| 術後の経過・現在の様子 | 現在、治療開始から2ヶ月目ですが計画通り順調に治療が進んでいます。 今回のように、奥歯を噛み合わせても前歯が開いてしまう開口の場合、当院ではマウスピースを使った症例が向いているとご説明させていただいています。どのように歯並びがよくなるのかシミュレーションもできる矯正無料相談もご用意しているので、歯並びでお悩みの方は、ぜひご相談下さい。 |
| 治療のリスクについて | ・歯が移動することにより痛みが出る可能性があります。 ・歯が移動することで歯茎が下がる可能性があります。 ・歯茎が下がった際に、冷たいものがしみるなどの症状が出ることがあります。 ・矯正治療終了後に、歯並びが元に戻る可能性があります。 |


