general 一般歯科
-
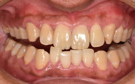
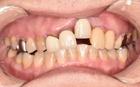
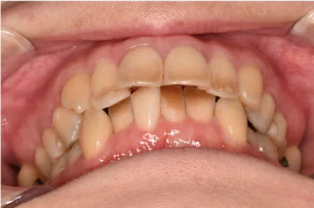
一般歯科 2023.0450代男性「着色を落として、詰め物もやり直したい」歯周病治療と専用機械による着色除去を並行し、歯と歯肉の状態を改善して詰め物をやり直す準備ができた症例
-
一般歯科 2023.0430代女性「歯のメインテナンスをしたい」目立つ着色を、専門的な歯のクリーニング「PMTC」とパウダーを用いた「エアフロー」できれいに落とし、本来の歯の色を取り戻した症例
-
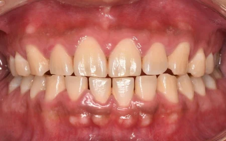
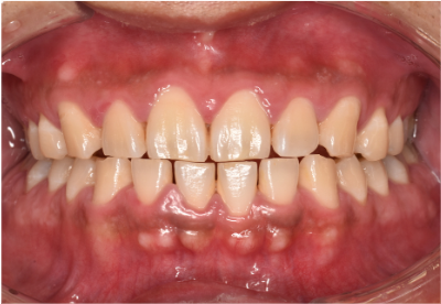
一般歯科 2023.0430代女性「上の前歯に熱いものがしみる」虫歯を取り除いて白いペースト状の材料「コンポジットレジン」で修復し、歯周病の治療も並行して進めて口の中全体を健康にした症例
-
一般歯科 2023.0330代男性「歯が痛い。口の中全体をチェックしたい」虫歯の検診時に見つかった歯茎の炎症を、歯科医院でのクリーニングとご自宅でのブラッシングで改善した症例
-
一般歯科 2023.0330代男性「検診をしてほしい」歯茎の炎症と付着していた歯石を、ブラッシング指導と歯石除去による歯周病治療で改善した症例
-
一般歯科 2023.0250代女性「歯茎から出血している。歯周病の治療をしてほしい」歯周基本治療を行った症例
-
一般歯科 2023.0130代女性「歯のメインテナンスをしたい」ブラッシングとエアフローで歯の表面の着色汚れをきれいに取り除いた症例
-
一般歯科 2023.0130代女性「以前治療した部分の着色が気になる」変色して見た目が悪くなっていた保険の詰め物(コンポジットレジン)を作り直した症例
-
一般歯科 2023.0130代女性「上の前歯の色味が気になる」着色して見た目が悪くなっていた詰め物を保険診療のコンポジットレジンで改善した症例
-
一般歯科 2023.0120代女性「歯科検診をしてほしい」約10年ぶりの歯医者で、付着していた歯石の除去とブラッシング指導により歯周病治療を行った症例
-
一般歯科 2022.0920代男性「歯周病治療と歯石を除去したい」中等度の歯周炎に歯石除去と歯周病治療を行った症例
-
一般歯科 2022.0830代男性「歯が痛い」虫歯治療後に歯石やプラークの除去とブラッシング指導で歯周炎を改善した症例


