others その他
-
その他 2023.0320代女性「歯科検診をしてほしい」約10年ぶりの歯医者で、全体的に付着した歯石の除去と、ブラッシング指導による歯周病治療を行った症例
-
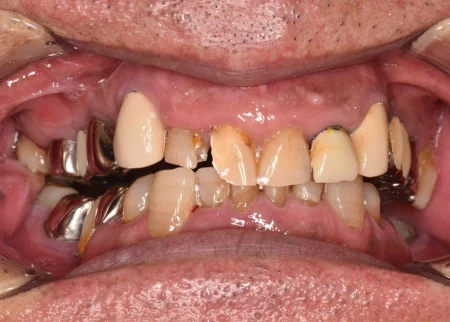
その他 2023.0370代男性「歯医者は何十年かぶり。悪い所を治したい」根っこのみだった左上奥歯を抜いた後、人工ダイヤモンド「フルジルコニア」のブリッジで治し、自然な見た目で良く噛めるようになった症例
-
その他 2023.0270代男性「前歯が折れた」仮歯を装着しながら神経の治療から被せ物の作製まで行った症例
-
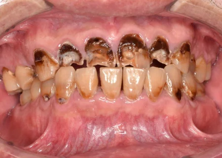
その他 2023.0250代男性「歯石を取ってほしい」歯茎の変色や出血を伴っていた重度の歯周病を歯の表面のクリーニングと歯周治療で改善した症例
-
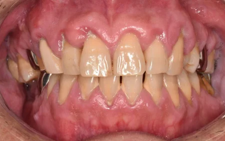
その他 2023.0150代男性「虫歯を治したい」歯科恐怖症で放置していた虫歯を取りきり被せ物で修復し、歯周病も併せて治療した症例


