beauty ホワイトニング
-
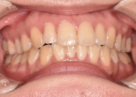
ホワイトニング 2023.0520代女性「歯を白くしたい」お茶やコーヒーの着色で茶色みがかった歯を、歯科医院で行う「オフィスホワイトニング」の3回コースで美しい白さにした症例
-
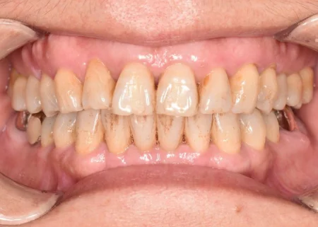
ホワイトニング 2023.0450代男性「前歯の裏が黒くなっている」着色を除去する「エアフロー」や、歯面の研磨「ポリッシング」を行う「PMTC」で歯の表面をきれいにした症例
-
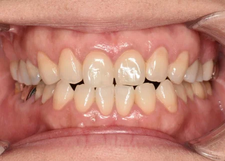
ホワイトニング 2023.0420代女性「歯を白くしたい」歯の汚れを除去して歯ぐきを健康にしてから、歯科医院で歯を白くする「オフィスホワイトニング」で歯の黄ばみを改善した症例
-
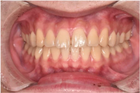
ホワイトニング 2023.0340代女性「歯を白くしたい」歯科医院で専用の薬液を使用して歯を白くする「オフィスホワイトニング」の3回コースで、明るい口元にした症例
-
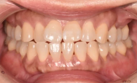
ホワイトニング 2023.0320代女性「結婚式に向けて歯を白くしたい」高濃度の漂白成分を含む薬剤を使って歯科医院で行う「オフィスホワイトニング」で歯の色をトーンアップした症例
-
ホワイトニング 2023.0220代女性「歯の黄ばみや着色が気になる。歯を白くしたい」全体的に暗いトーンだった見た目をオフィスホワイトニングで白く改善させた症例
-
ホワイトニング 2023.0220代男性「歯を白くしたい」全体的な黄ばみをなるべくしみないオフィスホワイトニングで白く審美的に回復した症例
-
ホワイトニング 2023.0250代女性「短期間で歯を白くして、長持ちさせたい」黄ばみや着色で見た目が悪くなっていた歯全体をオフィスホワイトニングで白くした症例
-
ホワイトニング 2023.0250代女性「歯を今よりも白くしたい」オフィスホワイトニングで歯を全体的に白くした症例
-
ホワイトニング 2023.0140代女性「歯を白くしたい」強い黄ばみをオフィスホワイトニングで全体的に白く改善した症例
-
ホワイトニング 2022.0740代女性「歯の色が気になる」全体的に暗かった歯の色をホワイトニングで審美的に回復した症例
-
ホワイトニング 2021.0920代女性「結婚式までに歯を白くしたい」ホワイトニングの症例


