beauty 40代女性「歯を白くしたい」歯科医院で専用の薬液を使用して歯を白くする「オフィスホワイトニング」の3回コースで、明るい口元にした症例
2023.03.09
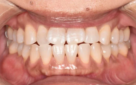
治療前
治療後
治療後詳細
治療終了から約3ヶ月後のメインテナンス時
| 年齢と性別 | 40代 女性 |
|---|---|
| ご相談内容 | 「ホワイトニングで歯を白くしたい」とご来院いただきました。 |
| カウンセリング・診断結果 | まず歯の色見本を用いて、患者様の歯の白さをS0~S40までの数値で測る「シェードテイク」を行いました。 シェードテイクでは数字が小さいほど明るい白さになりますが、患者様は歯の白さがS32とかなり黄ばんでおり、口元が暗い印象でした。 |
| 行ったご提案・治療内容 | 患者様にも色見本を見ていただきながらご希望の歯の白さを伺い、理想をしっかりと確認した上で、歯科医院で専用の薬液を使用して歯を白くする「オフィスホワイトニング」の3回コースをご提案しました。 現状で歯の黄ばみが強く、1回のホワイトニングでは患者様がご希望されている白さにするのは難しいことを丁寧にご説明し、同意いただきました。 |
| 治療期間 | 3週間(1週間に1回の来院) |
| おおよその費用 | 55,000円 |
| 術後の経過・現在の様子 | 歯の白さがS32からS8まで白くなり、とても明るい口元になりました。 治療が終了してから約3ヶ月後のメインテナンスでも、白さをキープすることが出来ていました。 患者様にも「理想の白さになり嬉しい」と大変お喜びいただいております。 |
| 治療のリスクについて | ・ホワイトニングを行う前にむし歯や歯周病が見つかった場合はその治療が優先になる場合があります ・ホワイトニングの効果には個人差があります ・治療を行った歯(詰め物や被せ物)にはホワイトニングの効果は期待できません ・ホワイトニング後数日は知覚過敏の症状が現れる場合があります ・ホワイトニング直後と翌日は飲食に気を付けていただく必要があります ・より白さを保ちたい方には歯科医院でのホワイトニングと自宅でのホワイトニングを併用する「デュアルホワイトニング」をおすすめします |


