beauty 50代男性「前歯の裏が黒くなっている」着色を除去する「エアフロー」や、歯面の研磨「ポリッシング」を行う「PMTC」で歯の表面をきれいにした症例
2023.04.10
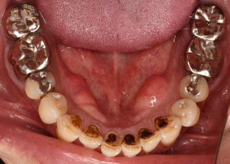
治療前
治療後
| 年齢と性別 | 50代 男性 |
|---|---|
| ご相談内容 | 「前歯の裏が黒くなっている」とご相談いただきました。 |
| カウンセリング・診断結果 | 拝見したところ、左右下の前歯6本(中切歯/1番、側切歯/2番、犬歯/3番)の裏側は、重度の着色により黒くなっていました。 また、歯と歯茎の境目や歯と歯の間には固い汚れ「歯石」の付着も見られました。 患者様に伺ったところ、「1日約15本ほど喫煙する」とおっしゃっていました。 着色や歯石があることで歯の表面がざらつき、汚れ「プラーク(歯垢)」の付着を招きやすくなります。 それによって歯周病や虫歯のリスクがあるため、着色や歯石の除去が必要と診断しました。 |
| 行ったご提案・治療内容 | 歯磨きでは落としきれない汚れや着色は、歯科医院で専用の機械などを使用して除去、磨きあげる「PMTC」をご提案し、同意いただきました。 歯石は、超音波振動で砕いて除去する「超音波スケーラー」で取り除きました。 着色は、細かなパウダーを強力なジェット水流で歯に吹きつける機械「エアフロー」を使い、すみずみまで落としました。 着色を落とした後は、回転式のブラシなどを使用して歯の表面を研磨する「ポリッシング」を行いました。 ポリッシングで仕上げることで、わずかな段差やざらつきをなめらかにし、プラークの付着や着色の予防をしました。 |
| 治療期間 | 1日 (着色の度合いや歯茎の状態による)・1回 |
| おおよその費用 | 保険適応 |
| 術後の経過・現在の様子 | 歯の表面が見えるようになり、なめらかできれいになりました。 患者様には「きれいになって舌触りも変わった」と大変喜んでいただけました。 毎日の食生活で着色は起こるため、現在は定期的にメンテナンスでご来院されています。 |
| 治療のリスクについて | ・コーヒーや紅茶、赤ワインなどポリフェノールが含まれるものを飲食される方、喫煙者の方は着色しやすいです。 ・過去に治療された部位の着色除去は清掃では不可能です。 ・本来の歯の色に戻すことは可能ですが、白さを求める場合は歯科医院やご自宅でのホワイトニングが必要です。 |


