beauty 20代女性「歯を白くしたい」お茶やコーヒーの着色で茶色みがかった歯を、歯科医院で行う「オフィスホワイトニング」の3回コースで美しい白さにした症例
2023.05.17
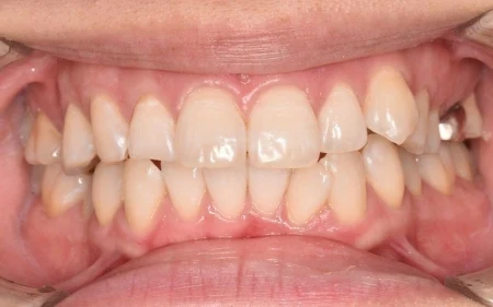
治療前
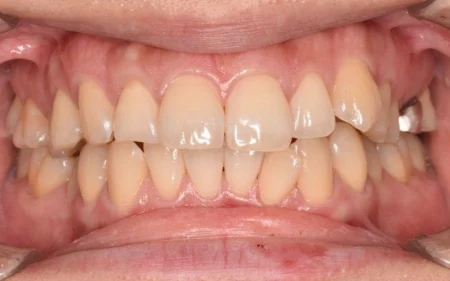
治療後
歯の白さが、茶色みがかった「S30」から、美しい白さの「S8」まで22段階アップしました。
| 年齢と性別 | 20代 女性 |
|---|---|
| ご相談内容 | 「歯を白くしたい」とお電話にてご相談いただきました。 |
| カウンセリング・診断結果 | 以前よりメインテナンスで当院にご通院いただいており、歯を白くする「ホワイトニング」に興味をお持ちの患者様でした。 まず歯の色味をチェックしたところ、白さは「S30」で、全体的に茶色みがかった着色を認めました。 患者様からは「普段からお茶やコーヒーをよく飲んでいる」とお話いただきました。 歯周病や虫歯が認められる場合は、症状を悪化させる可能性があるためホワイトニングを行うことができませんが、お電話の数日前に歯のメインテナンスを行っており、虫歯や歯周病がないことを確認していたため、すぐにホワイトニングを始めることができると診断しました。 |
| 行ったご提案・治療内容 | 歯科医院で専用の薬液を用いて歯を白くする「オフィスホワイトニング」の3回コースをご提案しました。 オフィスホワイトニングを繰り返し行うことで、黄ばんだ歯がより白く綺麗になることをご説明し、同意いただきました。 まず、ホワイトニングを始める前にお口の中を再度チェックし、虫歯や歯周病などの炎症がないことを最終確認しました。 その後、歯ぐきを保護してから薬液を塗布し、光を7分間照射する処置を3セット行いました。 一連の流れを1週間の間隔で合計3回行い、歯を白くしていきました。 |
| 治療期間 | 1ヶ月・1週間ごとの来院を3回 |
| おおよその費用 | 38,500円 (2周年キャンペーン価格) |
| 術後の経過・現在の様子 | 施術前はS30だった歯の白さが、S8まで22段階トーンアップし、美しく輝く歯になりました。 患者様にも「口元が明るくなって嬉しい」と大変お喜びいただきました。 現在は3ヶ月に1回のメインテナンスにご来院いただき、経過を拝見しています。 その際に歯の色味が気になるようであれば、再度ホワイトニングを行うようご提案しています。 |
| 治療のリスクについて | ・ホワイトニングを行う前に虫歯や歯周病が見つかると、その治療が優先になる場合があります ・ホワイトニングの効果には個人差があります ・施術中に歯がしみる場合があります。痛みの程度には個人差があります ・コーヒーや紅茶、ワインなどを常飲すると再び着色を引き起こします。綺麗な白さを保つため、半年から1年ごとのホワイトニングをおすすめしています ・詰め物や被せ物などの治療を行った歯には、ホワイトニングの効果は期待できません ・ホワイトニング後数日は、歯がしみる「知覚過敏(ちかくかびん)の症状が現れる場合があります ・ホワイトニング直後と翌日には、着色しやすい飲食物を摂取しないよう気を付ける必要があります ・より長く白さを保ちたい方には、歯科医院でのホワイトニングと自宅でのホワイトニングを併用した「デュアルホワイトニング」をおすすめします |


