child-ortho 11歳 女の子「ガタガタなので矯正したい。」インビザラインフル
2026.04.27
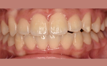
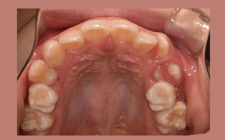
治療前
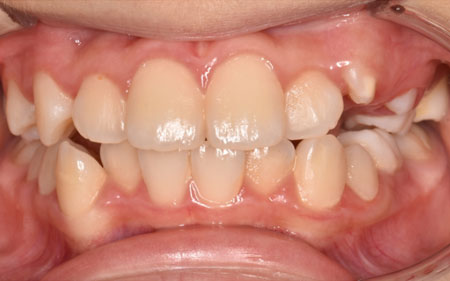
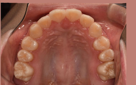
治療後
| 年齢と性別 | 11歳 女の子 |
|---|---|
| ご相談内容 | 「ガタガタなので矯正したい。」とご相談に来られました。 |
| 行ったご提案・治療内容 | 日中はマイオブレースを用いた筋機能訓練を中心に夜間にも装置を使用していただきました。 その後インビザライン矯正治療も併用し歯の細かい移動を行っていきました。 |
| 治療期間 | 約2年半 |
| おおよその費用 | ¥990.000(税別) |
| 術後の経過・現在の様子 | 上下共に綺麗に並び満足いただけました。 今は保定装置を付けていて、3ヶ月に1回検診クリーニングにお越しいただいております。 |
| 治療のリスクについて | 矯正により歯に痛みが出る場合があります。 矯正により歯がしみやすくなることがあります。 歯肉が退縮する場合があります。 矯正治療は後戻りする可能性があります。 装置が正しく使えない場合矯正期間が延びたり 中断する場合があります。 |


