child-ortho 10歳 男の子「矯正をしたい」マイオブレースを使ってトレーニングと インビザラインファーストで矯正を行った。
2026.04.27
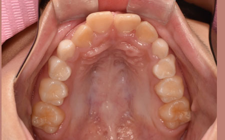
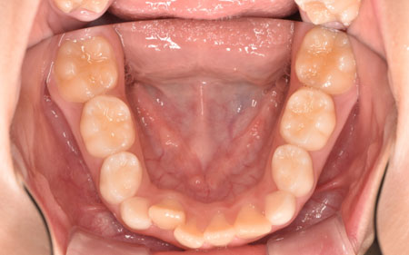
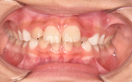
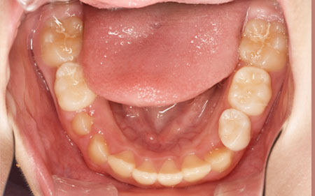
治療前
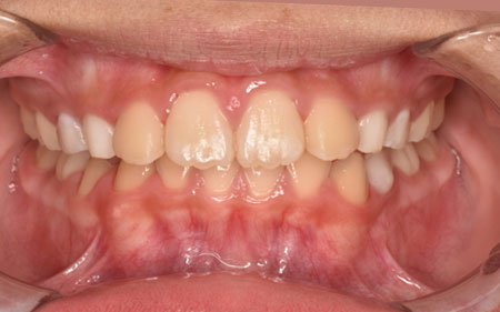
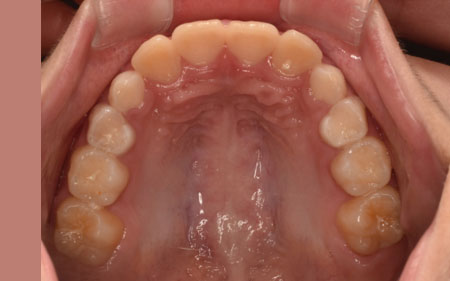
治療後
| 年齢と性別 | 10歳 男の子 |
|---|---|
| ご相談内容 | 「矯正をしたい」とご相談。 |
| 行ったご提案・治療内容 | インビザラインファーストと併用し、日中はマイオブレースを用いた口腔筋機能訓練を中心に夜間にも装置を使用していただきました。 |
| 治療期間 | 約2年 |
| おおよその費用 | ¥605.000(税込み)※追加装置代込み |
| 術後の経過・現在の様子 | 上下共に綺麗に並びご家族にも満足して頂けました。 今は保定装置を付けていて3ヶ月に1回チェックにお越し頂いています。 今後生え代わりを待ち、必要があれば追加の治療を再開する予定となっています。 |
| 治療のリスクについて | 矯正により歯に痛みが出る場合があります。 矯正により歯がしみやすくなることがあります。 歯肉が退縮する場合があります。 矯正治療は後戻りする可能性があります。 装置が正しく使えない場合矯正期間が延びたり中断する場合があります。 |


