child-ortho 11歳 男の子「矯正をしたい」マイオブレースを使ってトレーニングとインビザラインフルで矯正を行った。
2026.04.30
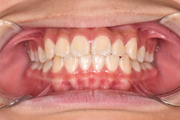
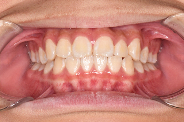
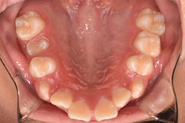
治療前
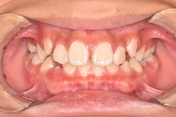
治療後
| 年齢と性別 | 11歳 男の子 |
|---|---|
| ご相談内容 | 「矯正をしたい」とご相談。 |
| 行ったご提案・治療内容 | 日中はマイオブレースを用いた筋機能訓練を中心に夜間にも装置を使用していただきました。 その後、インビザラインフルに移行。歯の細かい移動を行っていきました。 もうすでに犬歯が生えてきていたので、インビザラインフルで永久歯がすべて生え変わるまで矯正治療しています。 |
| 治療期間 | 約3年 |
| おおよその費用 | ¥900,000(税別) |
| 術後の経過・現在の様子 | 上下共に綺麗に並びご家族にも満足して頂けました。 今は保定装置を付けていて3ヶ月に1回チェックにお越し頂いています。 今後生え代わりを待ち、必要があれば追加の治療を再開する予定となっています。 |
| 治療のリスクについて | 矯正により歯に痛みが出る場合があります。 矯正により歯がしみやすくなることがあります。 歯肉が退縮する場合があります。 矯正治療は後戻りする可能性があります。 装置が正しく使えない場合、矯正期間が延びたり中断する場合があります。 |


