beauty 20代女性「結婚式に向けて歯を白くしたい」高濃度の漂白成分を含む薬剤を使って歯科医院で行う「オフィスホワイトニング」で歯の色をトーンアップした症例
2023.03.08
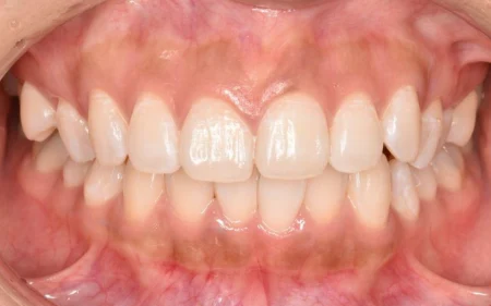
治療前
治療後
| 年齢と性別 | 20代 女性 |
|---|---|
| ご相談内容 | 「1ヶ月後に結婚式を控えているのでそれまでに歯を白くしたい。上の歯がたまに冷たいものでしみることがあるが、ホワイトニングを行っても大丈夫でしょうか」とご相談をいただきました。 |
| カウンセリング・診断結果 | 拝見すると、歯が全体的に黄色味がかっていて目立っていました。 お口の中には虫歯や歯ぐきの腫れはなく、歯周炎や歯周病などの問題はありませんでしたが、噛み合わせが悪い影響で歯肉に負担がかかっており、歯の周りの歯肉がすり減ってしまう「歯肉退縮」が見られました。 これが原因で、歯がしみていました。 患者様は「結婚式で口元を気にせず自信をもって笑えるように、明るく白い歯にしてほしい」とご希望でした。 |
| 行ったご提案・治療内容 | ホワイトニングを行うと歯がしみる可能性がありますが、施術後は冷たいものを控え、しみ止めの歯磨き粉を使ってもらうなど、適切な対応を行えばホワイトニングができることをご説明し、ご了承いただきました。 短期間で患者様の理想の歯の白さに近づけるために、高濃度の漂白成分の薬剤を使って歯科医院で行う「オフィスホワイトニング」の3回コースをご提案しました。 歯肉退縮がある部位には、ホワイトニングの薬剤が付かないようしっかりと歯肉保護剤で覆い、なるべくしみないように丁寧に施術しました。 1回、2回とホワイトニングの回数を重ねるたびに歯が白くなっていきました。 |
| 治療期間 | 約3週間 |
| おおよその費用 | 約50,000円 |
| 術後の経過・現在の様子 | 最後の3回目の施術後には、歯の色味がトーンアップして、明るく白い歯になりました。 「歯が希望通りの白さになり、結婚式にも間に合って嬉しい」と患者様にも大変ご満足いただけました。 施術後には多少しみる症状があったものの、現在は症状が解消されて経過は良好です。 |
| 治療のリスクについて | ・白さには限度があります。 ・白さには個人差があります。 ・ホワイトニングにより歯がしみる可能性があります。 ・ホワイトニング経過中に色むらが出る可能性があります。 ・ホワイトニング後は色戻りがあります。白さを保つには定期的にホワイトニングを行う必要があります。 ・妊娠中・授乳中の方は控えていただいています。 |


