beauty 20代女性「歯を白くしたい」歯の汚れを除去して歯ぐきを健康にしてから、歯科医院で歯を白くする「オフィスホワイトニング」で歯の黄ばみを改善した症例
2023.04.09
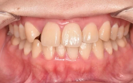
治療前
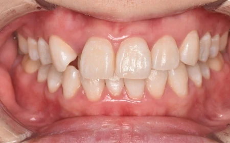
治療後
| 年齢と性別 | 20代 女性 |
|---|---|
| ご相談内容 | 「歯が黄色いのが気になっている。コロナ禍でマスクをしているうちに白くしておきたい」とご相談いただきました。 |
| カウンセリング・診断結果 | お口の中の状態を拝見したところ、全体的に歯が黄ばんでいて口元が暗い印象でした。 また、細菌の塊が硬くなった「歯石」が歯の表面に付着しており、それに伴って歯ぐきの出血や腫れなどの炎症が起こっていました。 |
| 行ったご提案・治療内容 | 歯石を除去して歯ぐきの炎症を改善してから、専用の薬剤を使って歯を白くする「ホワイトニング」を行うことをご提案しました。 歯ぐきに炎症がある際にホワイトニングを行うと、薬剤がしみたり、炎症を進行させてしまう恐れがあることを丁寧にご説明し、同意いただきました。 まず歯のクリーニングと歯磨き指導をしっかり行い、健康的な歯ぐきに導きました。 ホワイトニングの種類は、歯科医院で専用の薬液を使用し短期間で歯を白くする「オフィスホワイトニング」と、白さが長持ちするご自宅での「ホームホワイトニング」、両方を併用する「デュアルホワイトニング」の3つをご案内しました。 患者様は「デュアルホワイトニングも興味があるが、今の生活リズムではホームホワイトニングを行うのが難しい」とのことで、最終的にオフィスホワイトニングの3回コースをご選択いただきました。 |
| 治療期間 | 約3週間 |
| おおよその費用 | 約50,000円 |
| 術後の経過・現在の様子 | 1回目の施術後には「思った以上に歯が白くなった」と大変お喜びいただきました。 2回目、3回目と施術を重ねて、さらに白くきれいな歯になり、結果にご満足いただけました。 今後は生活が落ち着いたタイミングでホームホワイトニングを行い、歯の白さをより長く保つこともご検討いただいています。 |
| 治療のリスクについて | ・白さには限度があります。 ・白さには個人差があります。 ・ホワイトニングにより歯がしみる場合があります。 ・ホワイトニング経過中に色むらが出る場合があります。 ・ホワイトニング後は色戻りがあります。白さを保つには定期的にホワイトニングを行う必要があります。 ・妊娠中、授乳中の方は控えていただいております。 |


