ceramic 30代女性「前歯が土台ごと取れた」樹脂製の「ファイバーコア」で土台を作った後、白く透明感がある「オールセラミック」で被せ直し、自然で美しい見た目に修復した症例
2023.04.08
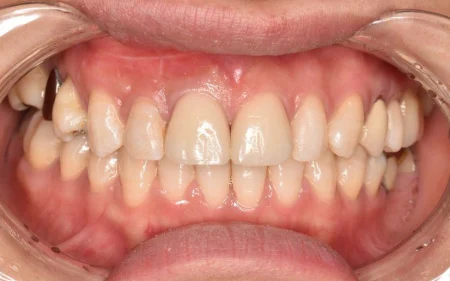
治療前
治療後
| 年齢と性別 | 30代 女性 |
|---|---|
| ご相談内容 | 「3年以上前に作った上の前歯の差し歯が取れた。取れた被せ物は歯ぐきとの境目が黒くなっていたのが気になっていた」とご相談いただきました。 |
| カウンセリング・診断結果 | 拝見すると、右上の前歯(中切歯/1番)の被せ物が、中の土台ごと外れていました。 外れた痕と患者様のお話から、以前の土台は金属製のものを使用していたと思われました。 また、左上の前歯(中切歯/1番)にも保険の被せ物が入っており、土台の金属の色が少し見えていました。 患者様は「歯ぐきと被せ物の境目が黒くならないように直してほしい」とご希望でした。 被せ物の裏側や土台に金属が使われている場合、時間が経つにつれて金属が溶け出すため、歯ぐきとの境目が黒くなることがあります。 |
| 行ったご提案・治療内容 | 歯ぐきと被せ物の境目が黒くなるのを避けるために、土台には白い樹脂製の素材「ファイバーコア」を使用し、新たな被せ物は透明感があり色の調整が細かくできる「オールセラミック」で作製することをご提案しました。 ファイバーコアは歯に似た白さで光を透過するため、被せ物への影響が少なく、自然で透明感がある仕上がりになります。また、しなやかさに優れ、衝撃を吸収する特性もあるため、歯が割れるリスクを低減すると言われています。 また、今回外れた右上前歯だけを治療すると、真ん中の前歯2本が質感の異なった素材の被せ物となり、不自然な仕上がりになることが予想されました。 そのため、左右上の前歯2本の被せ物を一緒に作り直すことで、より自然で美しい仕上がりになることを丁寧にご説明し、ご了承いただきました。 |
| 治療期間 | 約1ヶ月 |
| おおよその費用 | 275,000円 |
| 術後の経過・現在の様子 | 上の前歯が天然歯のような美しい見た目になりました。 患者様にも「自然な色味の仕上がりになってうれしい。2本一緒に作り直して良かった」と大変ご満足いただけました。 現在は、美しく健康な状態を維持するために定期的に検診に通っていただいています。 |
| 治療のリスクについて | ・セラミックは使用環境によって外れてしまうことがあります。 ・セラミックも十分なメンテナンスを行わないと、周辺の歯から虫歯になることがあります。 ・強い食いしばりや硬度の高いものを誤って噛むと、割れてしまうことがあります。 |


