ceramic 30代女性「上の前歯の色味が気になる。保険で治したい」変色していたプラスチックの詰め物を新たに作り直して、見た目を白く美しく改善させた症例
2023.03.30
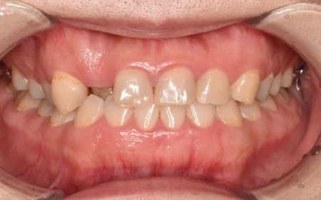
治療前
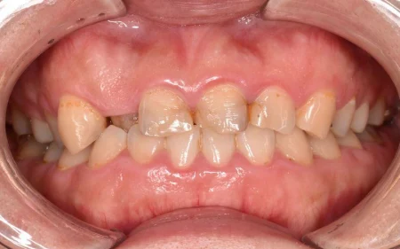
治療後
治療後詳細
治療から半年以上経過した状態ですが、とても綺麗です
| 年齢と性別 | 30代 女性 |
|---|---|
| ご相談内容 | 「上の前歯の色味が気になる。保険で治したい」とご相談いただきました。 |
| カウンセリング・診断結果 | 拝見すると、右上の前歯(中切歯/1番)と左上の前歯2本(中切歯・側切歯/2番)に、保険治療の白いプラスチック「コンポジットレジン」の詰め物が入っていて、詰め物の境目を中心に着色していました。 コンポジットレジンは、ペースト状のプラスチック材料を歯に直接盛って、専用のLED照射器で強固に固めて詰める虫歯治療の方法です。略称で「CR」や「レジン」等とも呼ばれます。 保険診療内で治療ができ、歯の色に近い自然な色に仕上がるというメリットがある一方、時間が経つにつれて着色や変色が起きやすい素材です。 |
| 行ったご提案・治療内容 | 患者様は保険診療内での治療をご希望されていたため、着色した古いコンポジットレジンを除去し、新たにコンポジットレジンを詰め直しました。 即日で治療が終了しました。 |
| 治療期間 | 1日(治療本数にもよります)・1回 |
| おおよその費用 | 保険診療で可 |
| 術後の経過・現在の様子 | 着色していた部分がなくなり、周囲の歯と違和感のない綺麗な見た目になりました。 患者様にも「白くなって嬉しい。ざらつきもなくなってツルツルしている」と仕上がりに大変満足していただいています。 治療から半年以上経った現在も変色することなく、白く美しい状態を維持できています。 |
| 治療のリスクについて | ・コンポジットレジンは、経年変化により収縮して不適合になったり、変色したりする可能性があります ・状態を良好に保つためには、自宅でのセルフケアと定期的なプロによるメンテナンスが必要になります |


