ceramic 30代女性「ホワイトニング後、前歯の色浮きが気になる」色味が合っていなかった被せ物を「オールセラミック」で作り直し、統一感のある自然な見た目に改善した症例
2023.03.31
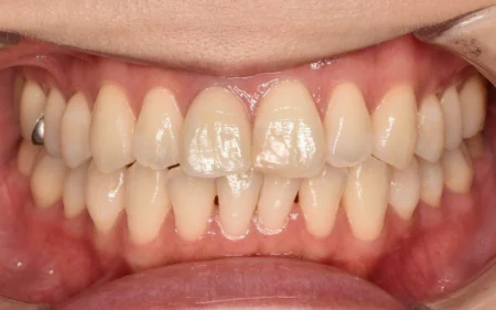
治療前
治療後
| 年齢と性別 | 30代 女性 |
|---|---|
| ご相談内容 | 「ホワイトニングをした後、被せ物の色浮きが気になる」とご相談をいただきました。 当院でホワイトニング3回コースの施術を受けられた患者様でした。 |
| カウンセリング・診断結果 | 拝見すると、被せ物が入っていた右上の前歯(中切歯/1番)の色が周りの歯と比べて暗く、調和がとれていませんでした。 薬剤を使って歯自体を白くする「ホワイトニング」は、天然歯を白くすることができますが、被せ物には効果がありません。そのため、お口全体をホワイトニングすると、歯の色にばらつきが見られ不自然になる場合があります。 また、被せ物の素材は金属フレームに陶器を焼き付ける「メタルボンド」で、劣化により金属が溶け出して歯ぐきと被せ物のきわが黒くなっていました。 |
| 行ったご提案・治療内容 | 被せ物で治療している歯にはホワイトニングの効果がないことを丁寧にご説明し、周囲の歯の色味に合った被せ物を作り直すことをご提案しました。 新たな被せ物の素材には、金属を使わずに天然歯のような透明感がある「オールセラミック」を選択し、自然な見た目になるようにホワイトニング後の歯と同じ色味で作製しました。 |
| 治療期間 | 約3週間 |
| おおよその費用 | 132,000円 |
| 術後の経過・現在の様子 | 前歯もホワイトニング後の天然歯と同じ色味となり、統一感のある白い歯になりました。 患者様にも「自然な白さで透明感のある仕上がりになって嬉しい」と大変満足していただいています。 |
| 治療のリスクについて | ・口腔内の経年変化に伴い、歯肉が退縮して、被せ物と歯肉の間に隙間が生じる可能性があります ・オールセラミックの被せ物は金属ではないため、噛み合わせの関係や何かの拍子に欠けたり割れてしまうことが稀にあります |


