general 30代女性「上の前歯に熱いものがしみる」虫歯を取り除いて白いペースト状の材料「コンポジットレジン」で修復し、歯周病の治療も並行して進めて口の中全体を健康にした症例
2023.04.01
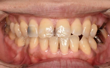
治療前
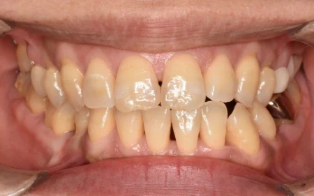
治療後
| 年齢と性別 | 30代 女性 |
|---|---|
| ご相談内容 | 「上の前歯に熱いものがしみる」とご相談いただきました。 |
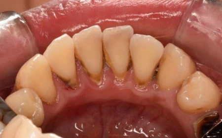
| カウンセリング・診断結果 | レントゲンを撮影して詳しく拝見したところ、上の前歯(右上側切歯/2番、左右中切歯/1番)が虫歯になっていました。 幸い、虫歯は神経までは到達していませんでした。 また、歯を支えている組織に炎症が起こる中等度の「歯周病」も下の前歯を中心に認められ、歯ぐきの腫れや出血も見られました。 硬くなった細菌の塊である「歯石」も付着しており、歯周病の進行に繋がっていました。 このまま放置すると強い痛みが出たり歯が抜けたりするリスクがあり、治療が必要な状態でした。 |
| 行ったご提案・治療内容 | 虫歯については、感染した部分をきれいに取り除いて白いペースト状の材料を詰める「コンポジットレジン修復」での即日治療をご提案し、同意いただきました。 また、歯周病は今の状態と今後のリスクを丁寧にご説明した後、歯ぐきの上の歯石「縁上歯石(えんじょうしせき)」と歯ぐきの内側に付着している歯石「縁下歯石(えんかしせき)」の除去を行いました。 歯石の付着を予防するため、ご自宅での清掃方法もしっかりとご指導し、練習していただきました。 |
| 治療期間 | 数ヶ月 (虫歯治療・縁上歯石除去は1日で可) |
| おおよその費用 | 保険適用 |
| 術後の経過・現在の様子 | 上の前歯は周り歯の色に馴染んだ仕上がりになり、痛みもなく良好です。 歯周病についても、患者様ご自身の地道なケアと定期検診でほとんど歯石が付かない状態を維持し、進行を予防できています。 患者様にも「口の中を健康に保てるよう、これからも通い続けたい」と前向きにご通院いただいております。 |
| 治療のリスクについて | ・歯石を除去することで冷たいものがしみる可能性がありますが、一過性の症状で数日で落ち着くことがほとんどです ・炎症が落ち着くと歯ぐきが引き締まるため、歯ぐきが下がったように感じることがあります ・歯周病は、ご自宅でのセルフケアと歯科医院での管理が両立することで治癒していきます |


