general 30代女性「歯のメインテナンスをしたい」目立つ着色を、専門的な歯のクリーニング「PMTC」とパウダーを用いた「エアフロー」できれいに落とし、本来の歯の色を取り戻した症例
2023.04.06
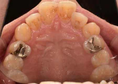
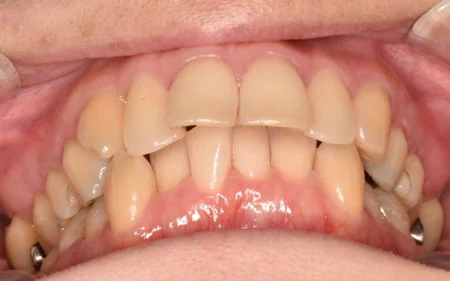
治療前
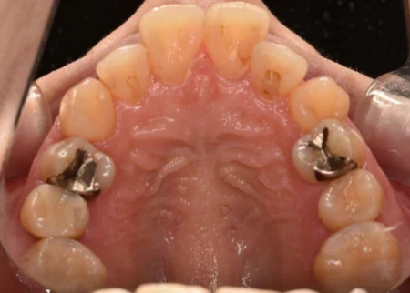
治療後
| 年齢と性別 | 30代 女性 |
|---|---|
| ご相談内容 | 「歯のメインテナンスをしたい」とご来院いただきました。 |
| カウンセリング・診断結果 | お口の中を拝見すると、歯の表面や裏側に着色があり、特に上下の前歯の着色は口を開けた時に目立っていました。 虫歯や歯ぐきの状態も詳しく検査したところ、こちらは問題ありませんでした。 |
| 行ったご提案・治療内容 | 着色があると細菌の塊である「プラーク」の付着を招きやすく、虫歯や歯周病の原因になることをご説明した上で、着色の除去をご提案し了承いただきました。 着色除去の方法としては、専門的な歯のクリーニング「PMTC」で歯の表面のブラッシングを行いました。 また、水流とパウダーの力で着色を除去する「エアフロー」を併用して、頑固で落ちにくい着色もきれいに除去しました。 |
| 治療期間 | 1日 (着色の度合による)・1回 |
| おおよその費用 | 保険適応 |
| 術後の経過・現在の様子 | 歯が本来の白さを取り戻し、表面にも艶が出ました。 患者様にも「舌で触ってみると滑らかで、違いがよくわかる」と大変お喜びいただきました。 着色は毎日の食生活で起こるため、健康的な歯を維持できるよう、現在も定期的なメインテナンスでご来院いただいています。 |
| 治療のリスクについて | ・コーヒーや紅茶、赤ワインなど、ポリフェノールが含まれるものを飲食される方は着色しやすいです ・過去に被せ物や詰め物などの治療を行った歯の着色除去は、清掃では不可能です ・本来の歯の色に戻すことは可能ですが、より白さを求める場合は歯科医院やご自宅で行う「ホワイトニング」が必要です |


