ceramic 40代男性「前歯が伸びて気になる」歯周病によって飛び出た歯を削り、丈夫で美しい「オールセラミック」で被せて、他の歯と長さを揃えて見た目を改善した症例
2023.04.05
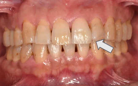
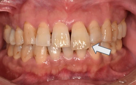
治療前
治療後
| 年齢と性別 | 40代 男性 |
|---|---|
| ご相談内容 | 「左の前歯が伸びてきた。知人に指摘されてからとても気になるようになった」とご相談いただきました。 |
| カウンセリング・診断結果 | 拝見すると、左上の前歯(中切歯/1番)の長さが隣り合う歯と揃っておらず、不自然な見た目でした。 歯周病が進行して歯を支える周りの骨が溶けてしまったことが原因で、噛み合わせの面を超えて歯が飛び出す「挺出(ていしゅつ)」が起きていました。 挺出した歯は矯正で治療することもありますが、今回のケースではすでに骨が少なく、矯正すると他の歯も含めて歯の寿命を縮めてしまうおそれがありました。 |
| 行ったご提案・治療内容 | 矯正治療ではなく、歯を削った後に天然歯のような透明感で自然な白さがある「オールセラミック」で被せて、見た目を改善する方法をご提案し、ご了承いただきました。 オールセラミックの被せ物は、美しさと丈夫さを兼ね備えているため、長い期間きれいな状態を維持できます。 また、金属を一切含まないため、金属アレルギーをお持ちの方でも安心してお使いいただけます。 |
| 治療期間 | 約3週間 |
| おおよその費用 | 約120,000円 |
| 術後の経過・現在の様子 | 前歯が同じ長さになり、とても自然な仕上がりになりました。 患者様も「歯の長さが揃って大変気に入った」とご満足いただいています。 現在は、きれいな状態を維持していくために、定期的にメンテナンスにご通院いただいています。 |
| 治療のリスクについて | ・セラミックは使用環境によって外れてしまうことがあります。 ・セラミックも十分なメンテナンスを行わないと、周辺の歯から虫歯になることがあります。 ・強い食いしばりや硬度の高いものを誤って噛むと割れてしまうことがあります。 ・治療が終了しても、メンテナンスとして約3ヶ月に一度の定期検診をご案内しております。 |


