ceramic 10代女性「以前治療した前歯が気になる。インプラントも検討している」白い土台と「オールセラミッククラウン」で被せ物を作り直し、歯ぐきの形を整えて自然な見た目になった症例
2023.03.28
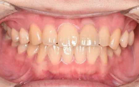
治療前
治療後
治療中詳細
治療期間中は仮歯を使用しました
治療後詳細
とても自然で違和感なく仕上げることができました
| 年齢と性別 | 10代 女性 |
|---|---|
| ご相談内容 | 「小学生の時にケガで治療した左上の前歯が気になる。いずれはインプラントを考えている」とご相談をいただきました。 |
| カウンセリング・診断結果 | 左上の前歯(中切歯/1番)の付け根が変色していました。 また、隣の歯(右上の中切歯)と比べて歯ぐきの位置が違うため、歯が小さく見えて不自然な状態でした。 患者様は前歯を抜いて、歯がない部分に人工の根っこを埋める「インプラント」の治療もご検討されていましたが、抜歯をしなくても歯の根っこが健康で土台に使える可能性が高く、もう一度被せ物の作り直しで十分綺麗にできると判断しました。 |
| 行ったご提案・治療内容 | 白い素材で自然な透明感を出せる「ファイバーコア」で歯の土台を作り、色が細かく調整できて見た目も自然に整えることができる「オールセラミッククラウン」で被せる治療方法をご説明し、ご希望されました。 隣の歯と大きさを揃えるために歯ぐきの形態を整え、より自然に仕上がるように周囲の色に合わせて被せ物を作製しました。 |
| 治療期間 | 約2ヶ月 |
| おおよその費用 | 143,000円 |
| 術後の経過・現在の様子 | 周囲の歯と馴染んで、とても自然に仕上がりました。 患者様からも「綺麗な見た目になって嬉しい。問題なく噛めている」と大変満足していただけています。 |
| 治療のリスクについて | ・セラミックは使用環境によって外れてしまう可能性があります。 ・セラミックも十分なメンテナンスを行わないと、周辺の歯から虫歯になる可能性があります。 ・強い食いしばりや固いものを誤って噛むと、割れてしまう可能性があります。 ・治療終了後は、メンテナンスとして約3ヶ月に一度の定期検診をご案内しています。 |


