general 50代男性「着色を落として、詰め物もやり直したい」歯周病治療と専用機械による着色除去を並行し、歯と歯肉の状態を改善して詰め物をやり直す準備ができた症例
2023.04.07
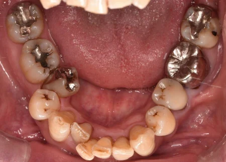
治療前
治療後
| 年齢と性別 | 50代 男性 |
|---|---|
| ご相談内容 | 「歯の着色を落としたい。詰め物もやり直したい」とご相談いただきました。 |
| カウンセリング・診断結果 | 拝見すると、お口全体の歯の表面に重度の着色が見られました。 患者様は「日ごろからよくコーヒーを飲む」とのことで、これが着色の原因と考えられました。 さらに、レントゲン写真や歯周検査の結果から、歯肉に炎症が起こり歯を支える骨が次第に溶けていく「歯周病」の進行も認められました。 |
| 行ったご提案・治療内容 | 歯周病を放置したまま詰め物をやり直すと、歯と詰め物の間に隙間が生じやすく、その隙間から虫歯になったり歯周病がさらに悪化したりする場合があります。 また、着色があると歯の表面のざらつきが原因で、食べ物の残りカスに細菌が繁殖した「プラーク」が付着しやすくなります。 そのため、詰め物をやり直す前に歯周病の治療と着色除去を行い、歯と歯肉の状態を改善する必要があることを丁寧にご説明し、ご理解とご了承を得ました。 歯周病治療は、歯肉の上や歯肉の中にあった硬い細菌の塊「歯石」を除去しました。 また、専用機械による歯の表面のブラッシングや、ジェット水流と専用パウダーで汚れを除去する「エアフロー」で着色を取り除きました。 着色の度合いが強かったため、歯周病治療と着色除去を並行して4回に分けて実施しました。 |
| 治療期間 | 4回 (通常は1回が基本) |
| おおよその費用 | 保険適応 |
| 術後の経過・現在の様子 | 着色がきれいに取れて歯本来の自然な白さになり、歯肉も引き締まって歯周病が改善されました。 患者様も「歯がきれいになってうれしい。舌触りも変わった」と喜ばれていました。 現在は、最初にご相談いただいた詰め物のやり直しを進め、より美しく健康な状態となってきています。 |
| 治療のリスクについて | ・コーヒーや紅茶、赤ワインなどポリフェノールが多く含まれるものを飲食される方は、着色が付きやすくなります ・毎日の食生活で着色は起こるので、適宜メインテナンスが必要です ・着色は清掃のみで落とすことはできません ・着色除去で本来の歯の色に戻すことは可能ですが、さらに白さを求める場合は歯科医院やご自宅で歯を白くする「ホワイトニング」が別途必要です |


