general 30代男性「歯が痛い。口の中全体をチェックしたい」虫歯の検診時に見つかった歯茎の炎症を、歯科医院でのクリーニングとご自宅でのブラッシングで改善した症例
2023.03.26
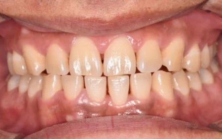
治療前
治療後
| 年齢と性別 | 30代 男性 |
|---|---|
| ご相談内容 | 初診時は「歯が痛い」と虫歯のご相談があり、お口全体のチェックをご希望でした。 |
| カウンセリング・診断結果 | 虫歯を確認するとともに歯茎の状態をチェックすると、歯茎が赤く腫れ、ほとんどの歯から出血している「歯肉炎」が認められました。 細菌の集まりである「プラーク」や、プラークが石のように硬くなった「歯石」が全体的に付着しており、このまま放っておくと歯が揺れたり抜けたりする「歯周病」が進行するリスクがありました。 |
| 行ったご提案・治療内容 | 虫歯の治療だけでなく、歯のクリーニングも行って歯肉炎を改善した方が歯を長く健康に維持できるとお伝えしたところ、同意いただきました。 歯肉炎の治療は、歯科医院での専門的な清掃とご自宅での適切なブラッシングを並行して行うことが重要です。 当院では専用の器具による歯石やプラークの除去、ブラッシング指導を行い、ご自宅ではご自身で歯をきれいに清掃する「セルフケア」を頑張っていただきながら、歯肉の炎症を治めていきました。 |
| 治療期間 | 数ヶ月 |
| おおよその費用 | 保険診療範囲内で可 |
| 術後の経過・現在の様子 | 歯茎が健康的な色になって引き締まり、出血も落ち着きました。痛みなどもなく経過は良好です。 患者様にも「自宅でのセルフケアもしっかりできるようになった」と大変お喜びいただきました。 現在も定期的な検診でご来院いただいております。 |
| 治療のリスクについて | ・歯石を除去することにより、数日間冷たいものがしみる可能性があります。一過性の症状で数日で落ち着くことがほとんどです。 ・炎症が落ち着いて歯茎が引き締まることにより、歯茎の位置が下がったように感じることがあります。 ・歯肉炎や歯周病の治療は、ご自宅でのセルフケアと歯科医院での管理が両立することで治癒するため、どちらも欠かさず行うことが必要です。 |


