general 30代男性「検診をしてほしい」歯茎の炎症と付着していた歯石を、ブラッシング指導と歯石除去による歯周病治療で改善した症例
2023.03.25
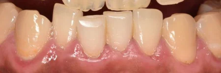
治療前
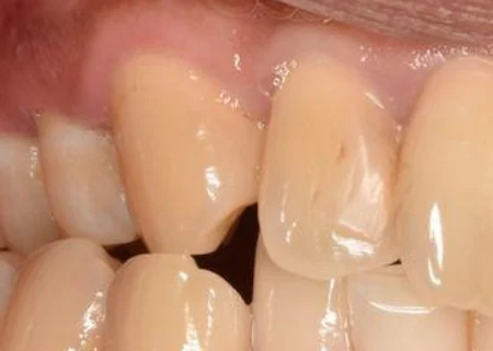
治療後
| 年齢と性別 | 30代 男性 |
|---|---|
| ご相談内容 | 「検診をしてほしい」とご来院されました。 |
| カウンセリング・診断結果 | 患者様は「歯科医院へ行ったのは約3年前で、その時は治療のみだった。今まで定期検診などはしていない」とおっしゃっていました。 拝見したところ、歯茎は全体的に赤く腫れて炎症を起こしている「歯肉炎」が見られました。 また、歯茎の上「縁上」や歯茎の中「縁下」に歯石が付着していました。 レントゲン撮影と歯周病検査を行った結果、歯を支える骨「歯槽骨(しそうこつ)」が全体で一律に下がっている「水平的骨吸収」を認めたため、「歯周病」と診断しました。 |
| 行ったご提案・治療内容 | 患者様には、歯周病の治療が必要であること、歯周病治療にはご自宅でのケアもとても重要であることをご説明し、治療へ進みました。 初診時には縁上歯石、2回目以降で縁下歯石の除去を順番に行いました。 また、歯石の再付着や歯肉炎を起こさないようにするために、ご自宅でのケアとしてブラッシング指導を行い、患者様にもご協力いただき歯周病治療に取り組みました。 |
| 治療期間 | 数ヶ月 (縁上歯石の除去は1日で可) |
| おおよその費用 | 保険適用 |
| 術後の経過・現在の様子 | 完全な状態ではないものの、患者様のご協力もあり歯茎の炎症はおさまり、歯石が付着していない状態を維持しています。 患者様は「このまま歯石や炎症のない状態を維持して、歯周病治療が終わったらホワイトニングもしたい」と、口腔内への関心が高まったご様子でした。 現在は、定期的なメンテナンスで来院を継続しており、ホワイトニングを行うか検討されています。 |
| 治療のリスクについて | ・歯石を除去することにより数日間冷たいものがしみる可能性がありますが、一過性の症状で数日で落ち着くことがほとんどです。 ・歯茎の炎症が落ち着くと引き締まるため、歯茎が下がったように感じることがあります。 ・歯周病治療はご自宅でのセルフケアと、歯科医院での管理が両立することで治癒していきます。 |


