beauty 20代女性「歯の黄ばみや着色が気になる。歯を白くしたい」全体的に暗いトーンだった見た目をオフィスホワイトニングで白く改善させた症例
2023.02.22
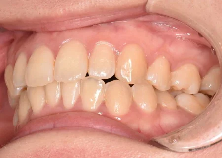
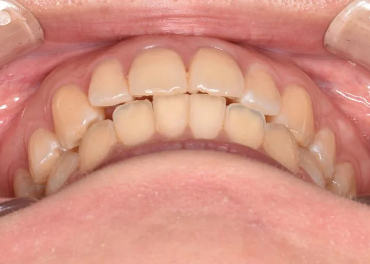
治療前
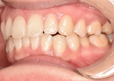
治療後
| 年齢と性別 | 20代 女性 |
|---|---|
| ご相談内容 | 「歯を白くしたい。歯の黄ばみが気になる」とご相談をいただきました。 |
| カウンセリング・診断結果 | ご相談の通り、全体的に着色が見られ、歯のトーンが暗めな印象でした。 患者様は「学生の時以来、クリーニングも行っていない」とお話しされ、治療方法は「なるべく短期間で白くしたい」とご希望でした。 |
| 行ったご提案・治療内容 | 患者様のご希望に沿って、短期間で白さが出る「オフィスホワイトニング」をご提案しました。 歯科医院で行う「オフィスホワイトニング」は高濃度のホワイトニング剤を使用するため、自宅で行う「ホームホワイトニング」に比べてより早く効果が出ることが特徴です。 |
| 治療期間 | 約1ヶ月 / 通院は計3回 |
| おおよその費用 | オフィスホワイトニング3回コース 50,000円 |
| 術後の経過・現在の様子 | 初診時に比べ、明るさがトーンアップし、笑った時に口元から覗く歯の白さがはっきりわかるくらい、透明感がある白い歯になりました。 患者様にも仕上がりに大変ご満足いただいております。 |
| 治療のリスクについて | ホワイトニングをした後でも、定期的なクリーニングを怠ると歯の色調が後戻りしてしまう場合があります。 |


