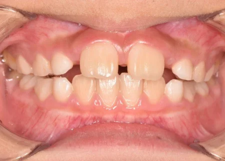
child-ortho 8歳男の子「下の歯並びがガタガタしているので治したい」歯が生えるスペースが不足して前歯が前後していた部分をマイオブレースを使用したトレーニングで治療した症例
2023.02.20
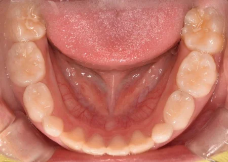
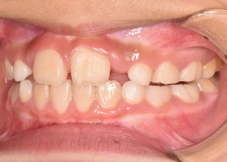
治療前
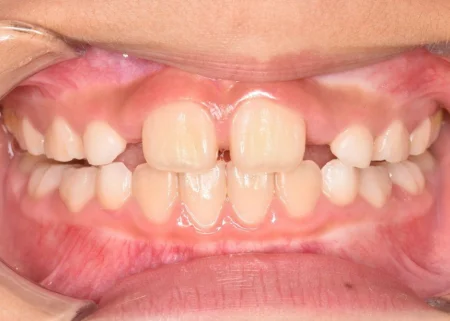
治療後
| 年齢と性別 | 8歳 男の子 |
|---|---|
| ご相談内容 | 「下の前歯の歯並びがガタガタしているので、治したい」とご相談をいただきました。 |
| カウンセリング・診断結果 | 診察したところ、全体的にスペースが不足していて、特に下の前歯が前後して生えていました。 お話しを伺うと、「矯正をしたい」とご希望でした。 |
| 行ったご提案・治療内容 | 患者様のご希望通り、「小児矯正」として以下の治療をご提案しました。 ・口の周りの筋肉の機能を改善するトレーニング「OMT」の指導 ・少ないコストで本来の正しい歯並びに導く「マイオブレース」の使用 以上の治療を、5ヶ月程度継続して行っていただきました。 |
| 治療期間 | 「OMT」と「マイオブレース」の使用期間:5ヶ月程度 |
| おおよその費用 | 500,000円 |
| 術後の経過・現在の様子 | 「OMT」と「マイオブレース」のみで、歯並びの悪さが改善され、患者様にもご家族様にも大変お喜びいただけました。 今後は、乳歯と永久歯の生え変わり時期に行うマウスピース型矯正装置「インビザラインファースト」も前向きにご検討されています。 |
| 治療のリスクについて | ・OMTの効果は個人差があります。 ・口周りの筋肉が正しく育っていないと、治療後に後戻りしてしまうことがあります。 |


