child-ortho 7歳女の子「歯並びの悪さ、特に下の歯のガタガタが気になる」マイオブレースを用いた筋機能訓練を中心に、インビザライン矯正治療も併用した症例
2023.02.18
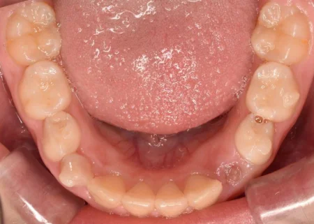
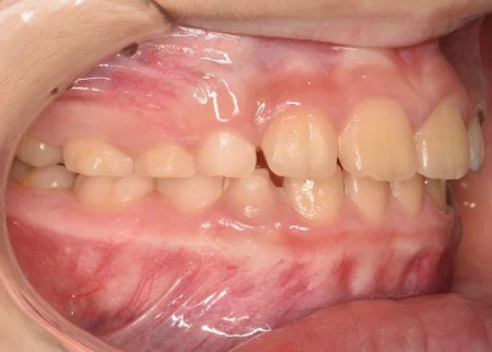
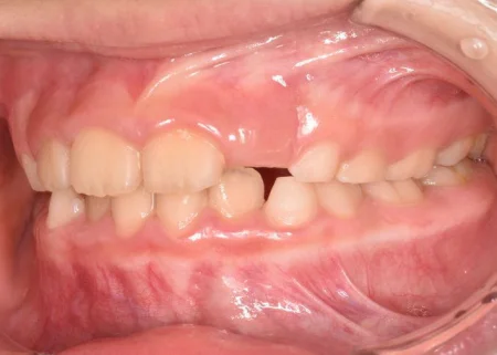
治療前
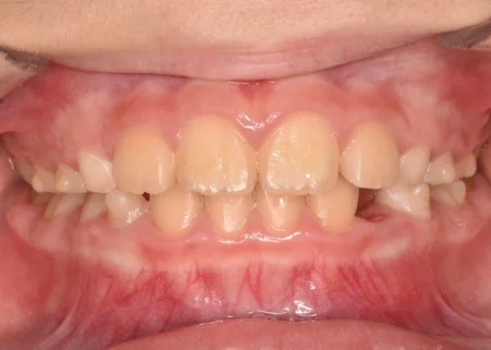
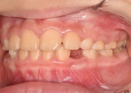
治療後
| 年齢と性別 | 7歳 女の子 |
|---|---|
| ご相談内容 | 「歯並びが悪く、特に下の歯がガタガタしていることが気になる」とご相談をいただきました。 |
| カウンセリング・診断結果 | 拝見したところ、上下の歯がズレてガタガタに生えてしまう「叢生(そうせい)」でした。 歯と顎の大きさが合わずアンバランスになってしまった時に、歯が生えるスペースが足りないことが原因で起こりやすい歯並びです。 また、悪い噛み癖などがある場合でもなりやすいと言われています。 今回の患者様も噛み癖が原因で、歯並びが悪くなっている可能性がありました。 |
| 行ったご提案・治療内容 | 患者様のお口の癖を改善するために、日中は早期予防矯正治療装置である「マイオブレース」を用いたお口の筋肉のトレーニングを中心に行い、夜間にも装置をご使用していただく治療をご提案しました。 早期に治療を開始することで、患者様への負担を軽減し、少ないコストで美しい歯並びへと導くことができます。 |
| 治療期間 | 約12ヶ月の予定 |
| おおよその費用 | ¥550,000 |
| 術後の経過・現在の様子 | 下の歯のガタガタは改善し、きれいな歯並びになりました。同時に噛み合わせも整えることができ、正しく噛めるようになりました。 治療結果に、患者様とご家族にも満足いただけています。 現在は「インビザライン」での矯正治療も併用して、歯の細かい移動を行っている最中です。 今後は乳歯から永久歯への生え変わりを待ち、必要に応じて追加の治療をご提案していく予定です。 |
| 治療のリスクについて | ・矯正装置によって、歯に痛みが出る場合があります。 ・矯正している時は、歯がしみやすくなることがあります。 ・歯と歯肉の間に隙間ができて、歯根が露出する「退縮」が起こる場合があります。 ・矯正治療は後戻りする可能性があります。 ・矯正装置が正しく使えない場合は、治療を中断する場合があります。 |


