ceramic 50代男性「右上のブリッジを白くて強度が高いものに変えたい」保険のブリッジを除去し、自費のオールセラミックとフルジルコニアで作り直した症例
2023.02.16
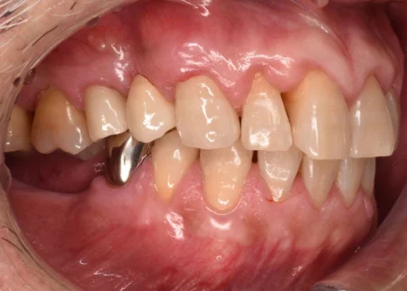
治療前
治療後
| 年齢と性別 | 50代 男性 |
|---|---|
| ご相談内容 | 「右上のブリッジを白くて強度が高いものに変えたい」とご相談をいただきました。 |
| カウンセリング・診断結果 | 診察したところ、右上の犬歯(3番)から第2小臼歯(5番)まで、保険で作製された金属のブリッジが入っていました。 また、笑った時に目立つ犬歯の表面は、白い歯科用プラスチック(硬質レジン)で被せてありましたが、変色しやすい素材のため黄ばみが目立っていました。 |
| 行ったご提案・治療内容 | 患者様のご希望に沿い、新しいブリッジの犬歯部分は、セラミックの中でも透明感があり天然歯のような色味が特徴の「オールセラミック」、他の奥歯2本は、強度が高く奥歯にも安心して使用できる「ジルコニア」をご提案しました。 |
| 治療期間 | 約2ヶ月 |
| おおよその費用 | 【自費治療】フルジルコニアクラウン(2歯分) 約90,000円 、オールセラミッククラウン(1歯分) 約120,000円 |
| 術後の経過・現在の様子 | 噛み合わせも問題なく、見た目が綺麗になったと大変満足していただけました。 周辺から再度虫歯にならないよう、定期検診とクリーニングに月1回のペースでご来院していただいています。 |
| 治療のリスクについて | ・セラミックは使用環境によって外れてしまうことがあります。 ・セラミックも十分なメンテナンスを行わないと、周辺から虫歯になることがあります。 ・強い食いしばりや、硬いものを誤って噛むことで割れてしまうことがあります。 ・治療終了後もメンテナンスとして定期検診をご案内しています。 |


