CASE #叢生(がたがた)
-
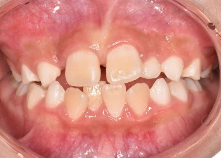
小児矯正 2023.047歳女の子「上の前歯のデコボコが気になる」マイオブレースを使用しながら口腔機能トレーニングを行い、「上顎拡大装置」やマウスピース矯正で歯並びを改善した症例
-
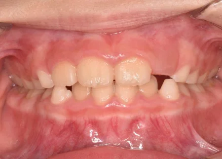
小児矯正 2023.028歳男の子「下の歯並びがガタガタしているので治したい」歯が生えるスペースが不足して前歯が前後していた部分をマイオブレースを使用したトレーニングで治療した症例
-
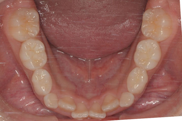
小児矯正 2023.027歳女の子「歯並びの悪さ、特に下の歯のガタガタが気になる」マイオブレースを用いた筋機能訓練を中心に、インビザライン矯正治療も併用した症例
-
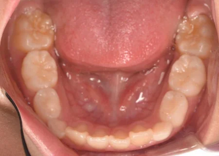
小児矯正 2023.027歳男の子「歯並びが気になる」ガタガタに生えている歯をマイオブレースによる小児矯正で改善した症例
-
小児矯正 2021.077歳男の子「下の歯がガタガタに生えている」小児矯正で治療した症例


