child-ortho 7歳男の子「歯並びが気になる」ガタガタに生えている歯をマイオブレースによる小児矯正で改善した症例
2023.02.12
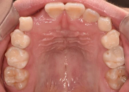
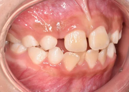
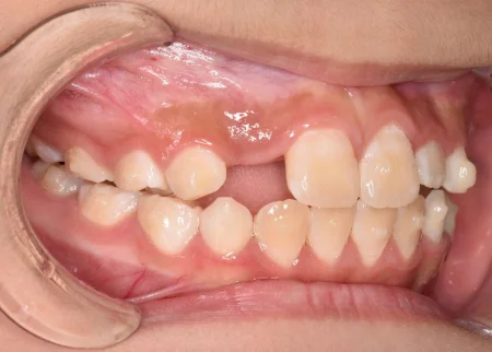
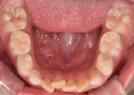
治療前
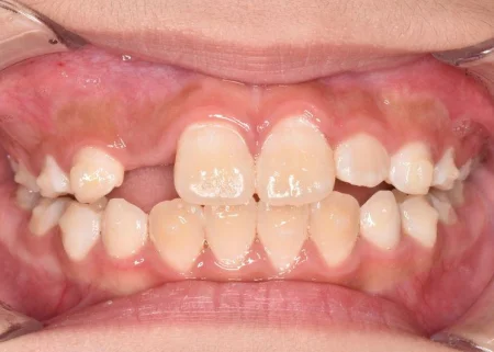
治療後
| 年齢と性別 | 7歳 男の子 |
|---|---|
| ご相談内容 | 「歯並びが気になる」とご来院されました。 |
| カウンセリング・診断結果 | 診察したところ、「叢生(そうせい)」と呼ばれる歯がガタガタに生えている状態でした。 歯がきれいに並ぶスペースが足りない時や、噛み合わせが悪い時に起こりやすい歯列不正で、今回の患者様の場合は、噛み方や舌に癖があり、歯並びの乱れの原因になっている可能性がありました。 |
| 行ったご提案・治療内容 | 日中は「マイオブレース」と言われる着脱可能なマウスピースを装着してお口周りの筋機能トレーニングを中心に行い、夜間にも装置を使用していただく矯正方法をご提案しました。 |
| 治療期間 | 約1年を予定しています。 |
| おおよその費用 | 500,000円 矯正期間中の定期健診や歯のお掃除は、保険診療なので自己負担はありません。 |
| 術後の経過・現在の様子 | 下の歯並びのガタガタは改善し、同時に噛み合わせも整えることができました。患者様もご家族も、きれいになった歯並びにご満足いただけています。 現在はマウスピース矯正の一種である「インビザラインファースト」を併用した治療を進めており、歯の細かい移動を行っている最中です。 今後は、永久歯の生え変わりを待ち、必要に応じて追加の治療をご提案していく予定です。 |
| 治療のリスクについて | ・矯正により歯に痛みが出ることがあります。 ・矯正により歯がしみやすくなる場合があります。 ・歯茎が下がる場合があります。 ・矯正治療は後戻りをする可能性があります。 ・装置を正しく使えない場合、治療を中断する可能性があります。 |


