child-ortho 8歳男の子「噛み合わせが反対になっている」保険診療にて口腔機能トレーニングを行った症例
2023.02.10
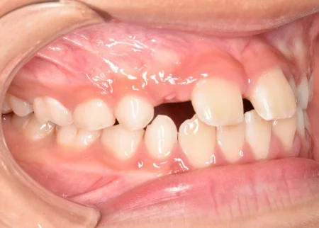
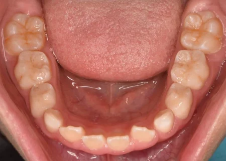
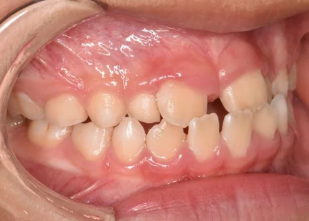
治療前
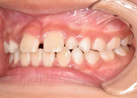
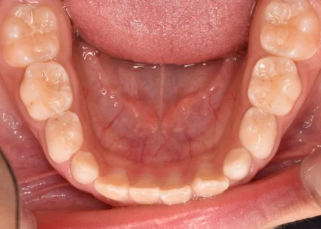
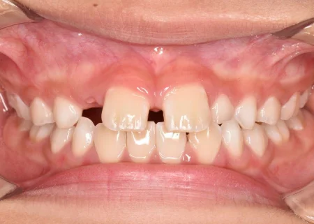
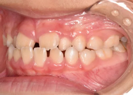
治療後
| 年齢と性別 | 8歳 男の子 |
|---|---|
| ご相談内容 | 「噛み合わせが反対になっている」とご来院されました。 |
| カウンセリング・診断結果 | 診察したところ、患者様の言う通り、噛み合せたときに上の歯より下の歯が前に出てしまう「受け口(反対咬合)」になっている状態でした。 まだ成長段階の年齢で反対咬合が起きた場合は、その後の成長発育に影響を及ぼすため、早めの治療が必要になることをお伝えしました。 またヒアリングをすると、日頃から口唇が開いている状態「口唇閉鎖不全症」ということがわかりました。 |
| 行ったご提案・治療内容 | 歯並びに悪影響を与える可能性のある習癖を改善するために、保険診療での口腔機能トレーニングを行うことをご提案し、ご了承をいただきました。 まずは、ご自宅で毎日行うトレーニング内容をご指導しました。その後、月1回・最大7回ご通院いただくコースで、経過に応じてトレーニング指導を行いました。 |
| 治療期間 | 7ヶ月(月1回通院) |
| おおよその費用 | 保険適応 (医療証をお持ちの方は自己負担なし) |
| 術後の経過・現在の様子 | ご自宅でのトレーニングを毎日真面目に取り組んでいただけたので、歯並びに悪影響を及ぼす習癖が改善されました。 患者様も「前より歯並びが綺麗になった!」と、保険診療内で治療できたことに大変喜ばれています。現在は、定期検診でご来院いただいています。 |
| 治療のリスクについて | 細かい歯の移動に関しては、自由診療の矯正治療が必要となります。 |


