beauty 20代男性「歯を白くしたい」全体的な黄ばみをなるべくしみないオフィスホワイトニングで白く審美的に回復した症例
2023.02.08
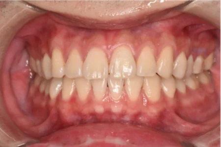
治療前
治療後
| 年齢と性別 | 20代 男性 |
|---|---|
| ご相談内容 | 「歯を白くしたい」とご来院されました。 |
| カウンセリング・診断結果 | 全体的に歯が黄ばんでおり、見た目が悪くなっていました。 治療方法についてご希望をお伺いしたところ、「ホワイトニングはしみると聞いて不安です。なるべくしみない方法で歯を白くしたい」とご要望でした。 |
| 行ったご提案・治療内容 | 患者様は「しみるのが不安」とのお話でしたので、歯科医院専用の機材を用いて行う当院の「オフィスホワイトニング」はしみにくいことをお伝えし、オフィスホワイトニングの3回コースをご提案しました。 また、白さを持続させるためにタッチアップとして3ヶ月に1度のクリーニングを行い、後日に追加のオフィスホワイトニングを行うことをご提案し、ご納得いただけたため治療に進みました。 |
| 治療期間 | 約3週間 |
| おおよその費用 | 55,000円 |
| 術後の経過・現在の様子 | 黄ばみがなくなり、透明感のある自然な白さの歯になりました。 患者様は「ほとんどしみることもなく、想像以上に白くなった」とおっしゃっており、仕上がりとともに、当院のしみにくいホワイトニング治療にご満足いただけました。 |
| 治療のリスクについて | ・白さには限度があります。 ・白さには個人差があります。 ・ホワイトニングにより歯がしみる場合があります。 ・ホワイトニング経過中に色むらが出る可能性があります。 ・ホワイトニング後は後戻りがありますので、白さを保つには定期的にホワイトニングを行う必要があります。 ・妊娠中・授乳中の方にはホワイトニングを控えていただいています。 |


