beauty 50代女性「短期間で歯を白くして、長持ちさせたい」黄ばみや着色で見た目が悪くなっていた歯全体をオフィスホワイトニングで白くした症例
2023.02.06
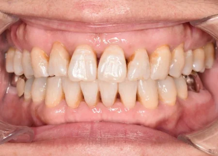
治療前
治療後
| 年齢と性別 | 50代 女性 |
|---|---|
| ご相談内容 | 「短期間で歯を白くしたい。できるだけ白さを長持ちさせたい」とご来院されました。 |
| カウンセリング・診断結果 | 診察したところ、歯全体に黄ばみや着色が見られ、見た目が悪くなっていました。 |
| 行ったご提案・治療内容 | より短期間で歯を白くするには、歯科医院専用の機材を用いて行う「オフィスホワイトニング」が効果的と考え、オフィスホワイトニングの3回コースが最適だと判断しました。 また、白さを持続させるために3ヶ月に1度クリーニングを行い、後日オフィスホワイトニングを追加で行うことをご提案しました。 |
| 治療期間 | 約3週間 (オフィスホワイトニング3回) |
| おおよその費用 | 55,000円 (クリーニングは保険診療内) |
| 術後の経過・現在の様子 | 透明感のある、明るい白さの歯になりました。 患者様は「ほとんどしみることもなく、想像していたよりも白くなった」とおっしゃっており、仕上がりにご満足いただけています。 |
| 治療のリスクについて | ・白さには限度があります。 ・白さには個人差があります。 ・ホワイトニングにより歯がしみる場合があります。 ・ホワイトニング経過中に色むらが出る場合があります。 ・ホワイトニング後は色戻りがあります。ホワイトニング後の白さを保つには定期的にホワイトニングを行う必要があります。 ・妊娠中・授乳中の方にはホワイトニングは控えていただいています。 |


