beauty 50代女性「歯を今よりも白くしたい」オフィスホワイトニングで歯を全体的に白くした症例
2023.02.04
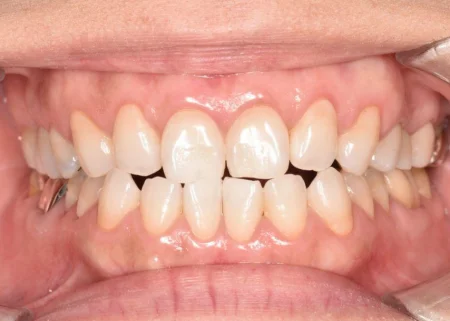
治療前
治療後
| 年齢と性別 | 50代 女性 |
|---|---|
| ご相談内容 | 「歯を今よりも白くしたい」とご相談をいただきました。 |
| カウンセリング・診断結果 | 診察したところ、着色や汚れなどはありませんでしたが、全体的に歯の色味が暗く、くすんでいる印象でした。 患者様にご希望の白さをお伺いすると、「透明感のある、白く輝く歯になりたい」とのことでした。 |
| 行ったご提案・治療内容 | 患者様のご希望の白さにより近づけるには、当院のホワイトニングのメニューの中でも、歯科医院で行う「オフィスホワイトニング」の3回コースが最適だと判断しました。 また、白さを持続させるために3ヶ月に1度クリーニングを行い、後日オフィスホワイトニングを追加で行うことをご提案しました。 |
| 治療期間 | 約3週間 (オフィスホワイトニング3回) |
| おおよその費用 | 55,000円 (クリーニングは保険診療内) |
| 術後の経過・現在の様子 | 白さが際立つ歯の色味に仕上がり、患者様にも「とっても白くなりました!ありがとうございます」と喜んでいただけました。 |
| 治療のリスクについて | ・白さには限度があります。 ・白さには個人差があります。 ・ホワイトニングにより歯がしみる場合があります。 ・ホワイトニング経過中に色むらが出る場合があります。 ・ホワイトニング後は色戻りがあります。白さを保つには定期的なホワイトニングが必要です。 ・妊娠中・授乳中の方のホワイトニングは控えていただいております。 |


