child-ortho 7歳男の子「上の前歯1本が内側に生えている」マイオブレースを使用した噛み方や舌の癖を治すトレーニングと拡大装置(バイオブロック)を使って小児矯正をした症例
2023.02.02
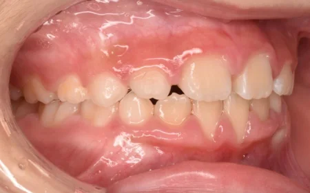
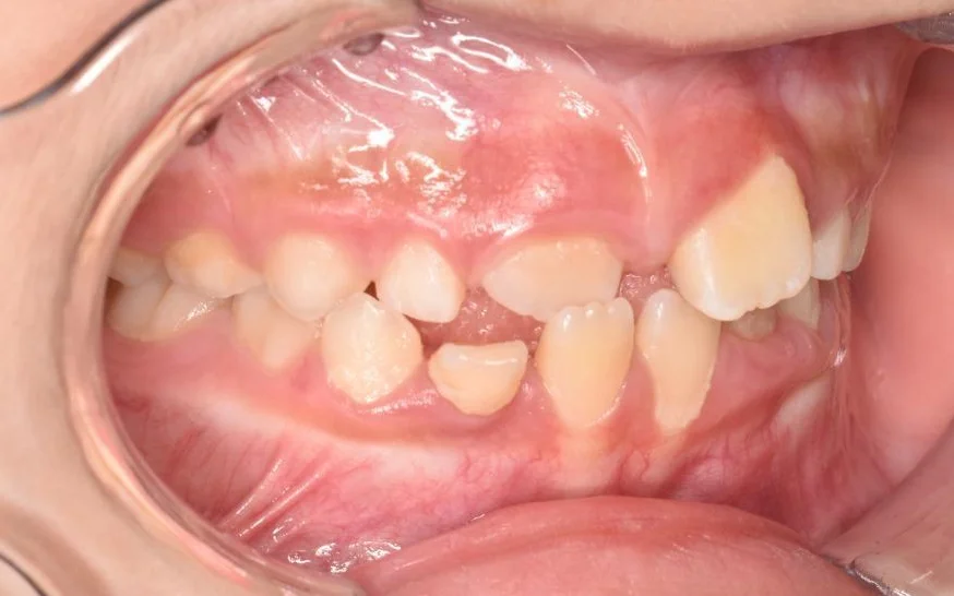
治療前
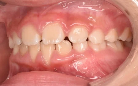
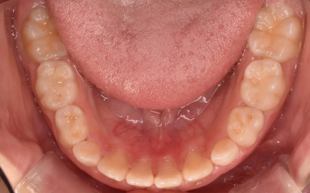
治療後
| 年齢と性別 | 7歳 男の子 |
|---|---|
| ご相談内容 | 「上の前歯1本が内側に生えている」とご相談をいただきました。 |
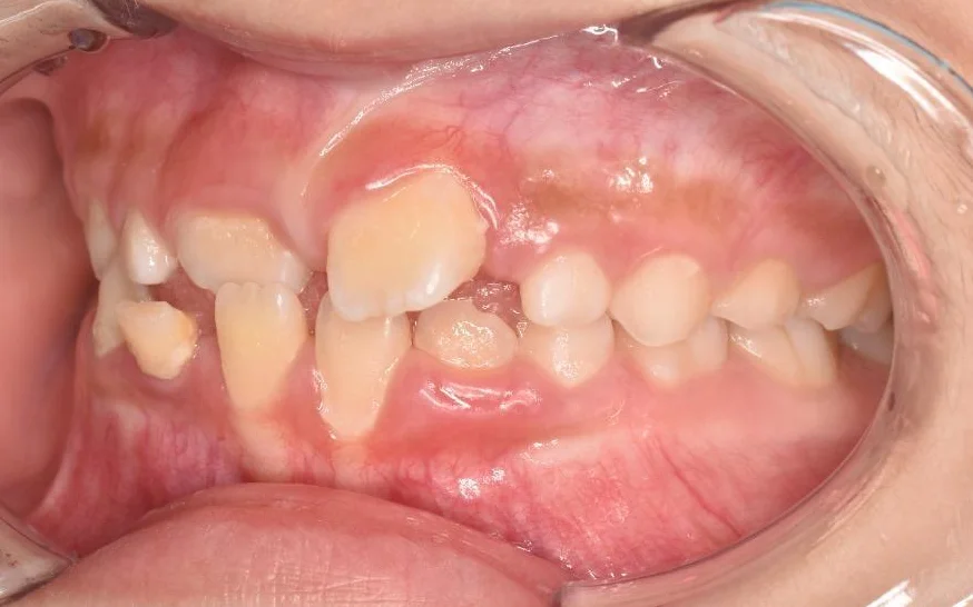
| カウンセリング・診断結果 | 拝見したところ、ご相談の通り、永久歯である右上の前歯(1番)が内側に生えてきており、部分的に上の歯より下の歯が前に出て噛み合わせが反対になっている「交叉咬合」でした。 低年齢のお子様の交叉咬合は、その後の成長や発育に悪影響をおよぼすこともあるため、早期の治療が必要です。 |
| 行ったご提案・治療内容 | 患者様には、噛み方や舌に癖があり、歯並びの乱れの原因になっている可能性がありました。また、上顎が狭く、永久歯がきれいに並ぶスペースが不足していました。 そのため、今回は「バイオブロック」という上顎のスペースを広げる拡大装置を使った矯正治療と、「マイオブレース」という子ども用の装置を使用して行う噛み方や舌の癖を治すトレーニングが必要と判断し、ご提案しました。 まず初めに、バイオブロックを歯磨き以外の時間ずっと装着する治療を4ヶ月行っていただきました。 患者様の協力度も高く、その後は少し硬めの装置でも使えると判断し、「マイオブレースK2」を装着して、日中1時間トレーニングを行っていただきました。装置は夜間も使用していただくことをご説明しました。(バイオブロック使用期間中はマイオブレースは併用していません。) |
| 治療期間 | 約1年 |
| おおよその費用 | 550,000円 |
| 術後の経過・現在の様子 | ご心配されていた交叉咬合が改善され、「歯並びがきれいになった!」と患者様に喜んでいただけました。 現在は、保定装置として夜間のマイオブレースK2のご使用を継続していただき、定期健診にもご来院いただいています。 |
| 治療のリスクについて | ・矯正装置により痛みが出る場合があります ・矯正装置により口内炎ができる場合があります ・装置を正しく使用できない場合、治療を中断する可能性があります ・後戻りする可能性があります ・生え代わりに応じて、追加の矯正治療が必要になる場合があります |


