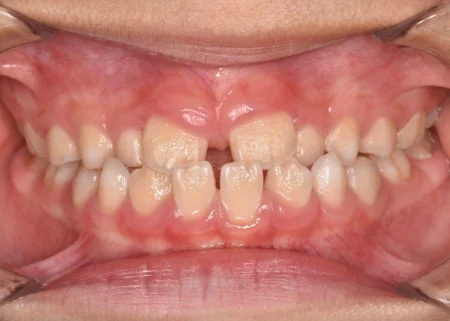
CASE #交叉咬合
-
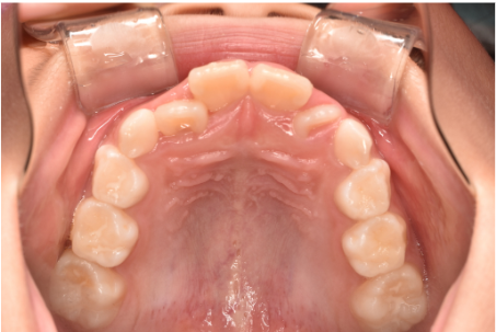
小児矯正 2023.047歳女の子「上の前歯のデコボコが気になる」マイオブレースを使用しながら口腔機能トレーニングを行い、「上顎拡大装置」やマウスピース矯正で歯並びを改善した症例
-
小児矯正 2023.028歳男の子「噛み合わせが反対になっている」保険診療にて口腔機能トレーニングを行った症例
-
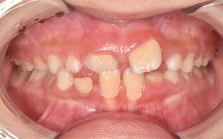
小児矯正 2023.027歳男の子「上の前歯1本が内側に生えている」マイオブレースを使用した噛み方や舌の癖を治すトレーニングと拡大装置(バイオブロック)を使って小児矯正をした症例
-
小児矯正 2022.087歳女の子「上の前歯がガタガタ」マイオブレースとバイオブロックを使用した患者の治療経過
-
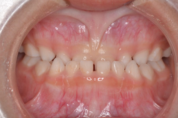
小児矯正 2021.075歳男の子「乳歯の前歯のかみ合わせがおかしい」マイオブレースで小児矯正をした症例


