child-ortho 5歳男の子「乳歯の前歯のかみ合わせがおかしい」マイオブレースで小児矯正をした症例
2021.07.09
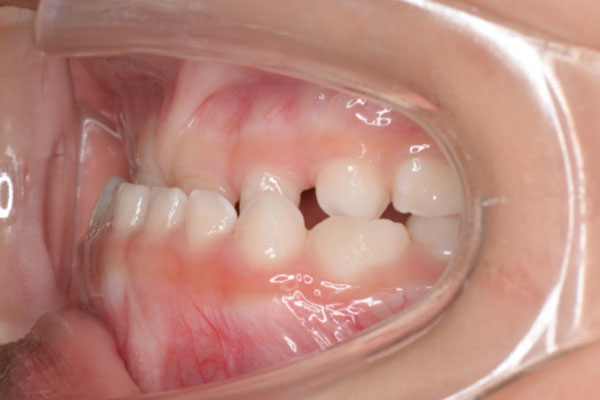
治療前
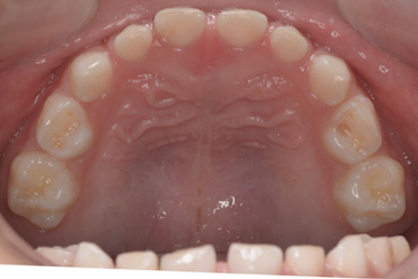
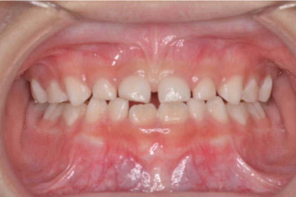
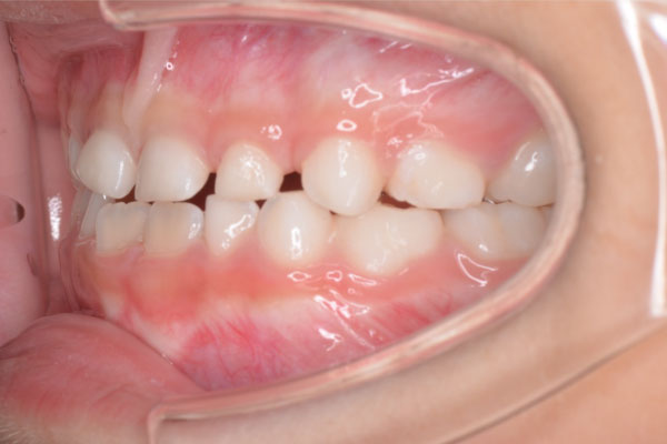
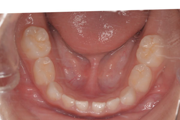
治療後
| 年齢と性別 | 5歳 男の子 |
|---|---|
| ご相談内容 | 「乳歯の前歯が反対のかみ合わせでおかしい」とのことでご相談いただきました。 |
| カウンセリング・診断結果 | 拝見したところ、おっしゃるように乳歯の前歯がずれて生えてきてしまった状態でした。 低年齢児の反対咬合は、その後の成長発育に影響をおよぼすため早期に治療が必要となります。 |
| 行ったご提案・治療内容 | 今回はマイオブレースという子ども用の装置を使用し、かみ方や舌の癖を治すトレーニングも一緒に行いました。また拡大装置による矯正治療が必要と判断しました。 マイオブレイスK1を装着し、日中1時間の練習を行っていただきました。同時に装置は夜間も使用していただきました。 あわせて拡大装置(バイオブロック)とフェイスマスクを4か月使用し、状態を改善していきました。 |
| 治療期間 | 1年 |
| おおよその費用 | ¥200,000 |
| 術後の経過・現在の様子 | 無事、ご相談内容にあった乳歯の反対咬合は改善されたので、現在は永久歯への交換を待っている時期です。 |
| 治療のリスクについて | 矯正装置により痛みが出る場合があります。 口内炎ができる場合があります。 装置を使用できない場合中断する可能性があります。 後戻りする可能性があります。 生え代わりに応じて追加の矯正治療が必要になる場合があります。 |


