ceramic 40代女性「歯並びを治したい、銀歯を白くしたい」インビザライン矯正とセラミック治療
2021.07.09
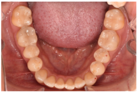
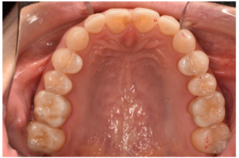
治療前
治療後
治療前詳細
| 年齢と性別 | 40代 女性 |
|---|---|
| ご相談内容 | 歯並びを治したい、銀歯を白くしたいと来院されました。 |
| カウンセリング・診断結果 | インビザラインによる矯正治療ののちに、銀歯はセラミックにおきかえ、上顎側切歯は矮小歯のため、べニアを装着することをご提案しました。 |
| 行ったご提案・治療内容 | インビザラインによる矯正治療後、銀歯をセラミックにおきかえました。 上顎側切歯はべニアを装着しました。 |
| 治療期間 | 1年 |
| おおよその費用 | ¥1,500,000 |
| 術後の経過・現在の様子 | かみ合わせ、見た目ともに大変気に入っていただけました。マウスピース型の保定装置にて経過観察しながら、3か月に1度のメンテナンスにお越しいただいております。 |
| 治療のリスクについて | 矯正により歯に痛みが出る場合があります。 歯肉が退縮する場合があります。 セラミックにすることで歯がしみやすくなったり痛む場合があります。 セラミックは使用環境によって外れてしまうことがあります。 セラミックも十分なメンテナンスを行わないと、周辺の歯から虫歯になる ことがあります。 強い食いしばりや硬度の高いものを誤って噛むと割れてしまうことがあ ります。 |


