ceramic 40代女性「歯並びを治したい、銀歯を白くしたい」インビザライン矯正とセラミック治療の症例
2021.07.08
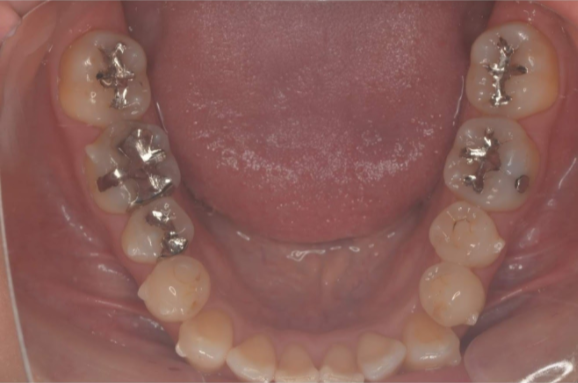
治療前
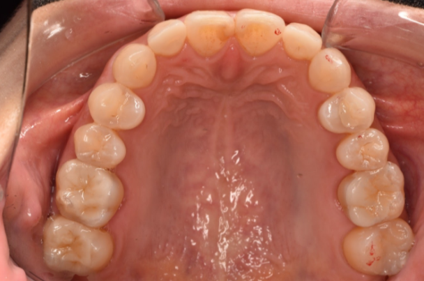
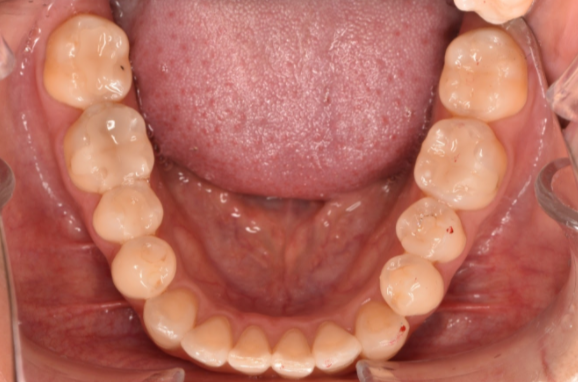
治療後
| 年齢と性別 | 40歳 女性 |
|---|---|
| ご相談内容 | 歯並びを治したい、銀歯を白くしたい |
| カウンセリング・診断結果 | インビザラインによる矯正治療ののちに銀歯をセラミックにおきかえる 上顎側切歯は矮小歯のためべニアを装着する |
| 行ったご提案・治療内容 | インビザラインによる矯正治療ののちに銀歯をセラミックにおきかえる 上顎側切歯は矮小歯のためべニアを装着する |
| 治療期間 | 1年 |
| おおよその費用 | ¥1500000 |
| 術後の経過・現在の様子 | かみ合わせ、見た目ともに大変気に入っていただけましたマウスピース型の保定装置にて経過観察しながら3か月に一度のメンテナンスにお越しいただいております。 |
| 治療のリスクについて | 矯正により歯に痛みが出る場合があります。 歯肉が退縮する場合があります。 セラミックにすることで歯がしみやすくなったり痛む場合があります。 ・セラミックは使用環境によって外れてしまうことがあります。 ・セラミックも十分なメンテナンスを行わないと、周辺の歯から虫歯になる ことがあります。 ・強い食いしばりや硬度の高いものを誤って噛むと割れてしまうことがあ ります。 |


