child-ortho 15歳女の子「前歯がガタガタに生えている」インビザラインで矯正治療した症例
2021.07.09
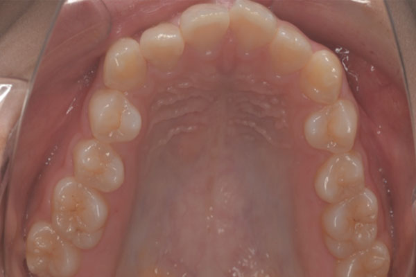
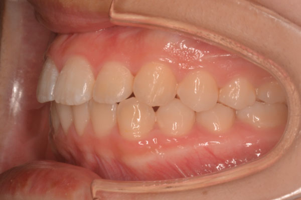
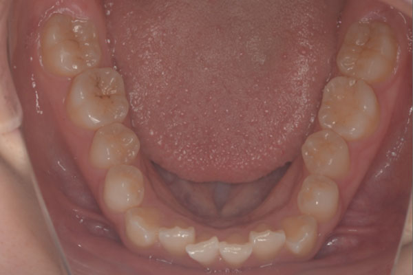
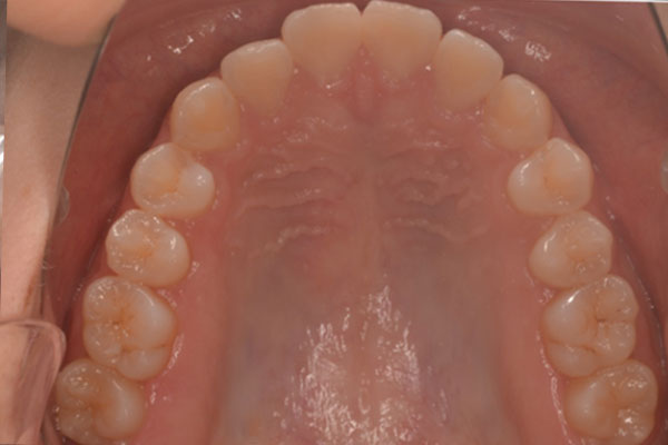
治療前
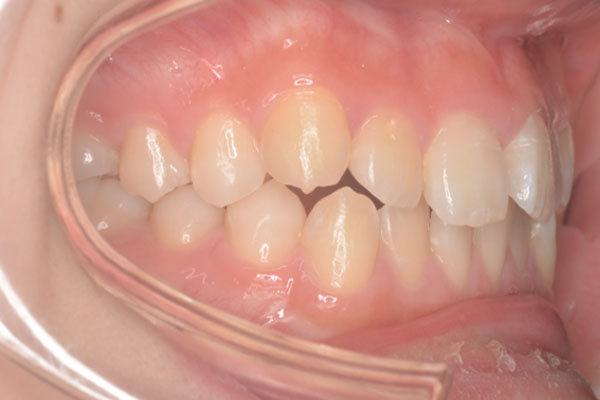
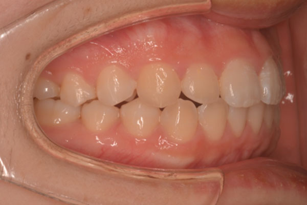
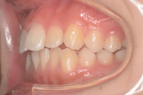
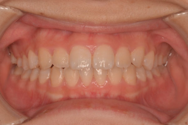
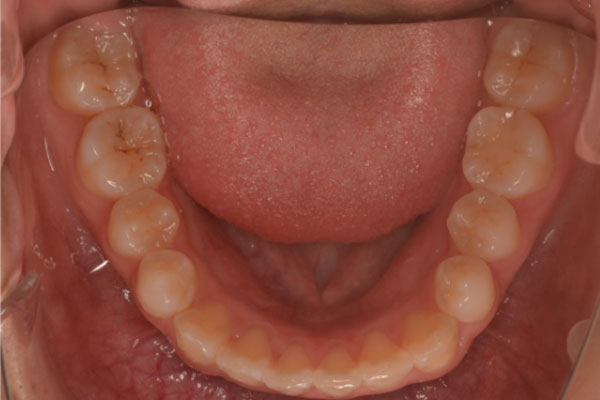
治療後
| 年齢と性別 | 15歳 女の子 |
|---|---|
| ご相談内容 | 「前歯のガタガタを治したい」とのことでご相談いただきました。 |
| カウンセリング・診断結果 | 拝見したところ、上下の前歯ががたがたと生えている状態(叢生)が確認できました。インビザラインをご希望されていたので、ご希望に合わせてインビザラインを用いた治療計画をご提案しました。 |
| 行ったご提案・治療内容 | インビザラインでの不正咬合の治療をご提案しました。当初より患者様から「治療中に目立たないマウスピースを使ってみたい」とのご希望がありましたので、ご要望に合せた治療プランをご提案しました。 診断の結果からもインビザラインによる矯正治療に適した症例と判断し、治療を進めていきました。 |
| 治療期間 | 約1年 |
| おおよその費用 | ¥900,000 |
| 術後の経過・現在の様子 | 予定通り治療は完了し、術後の歯並びにもご満足いただけました。現在は後戻りをさせないために、保定装置を使用してもらっています。 |
| 治療のリスクについて | 矯正により歯に痛みが出る場合があります。 矯正により歯がしみやすくなることがあります。 歯肉が退縮する場合があります。 矯正治療は後戻りする可能性があります。 |


