child-ortho 7歳男の子「下の歯がガタガタに生えている」小児矯正で治療した症例
2021.07.09
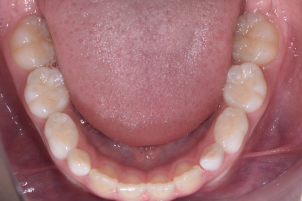
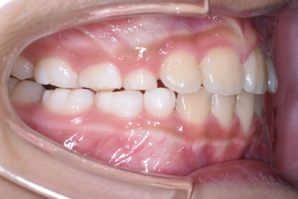
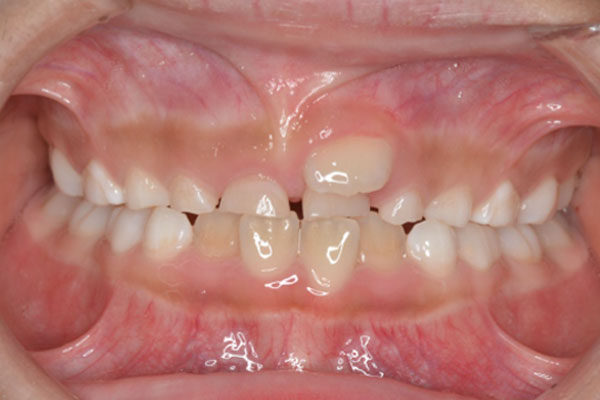
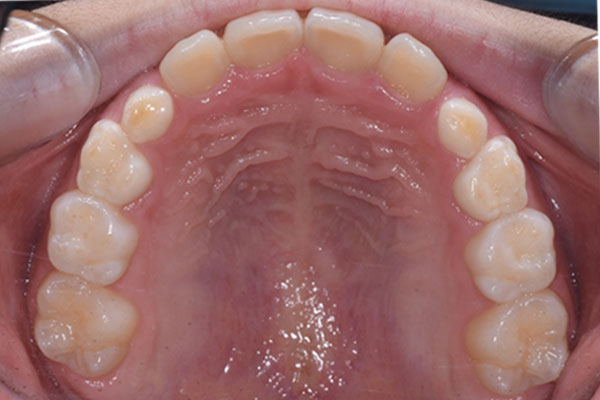
治療前
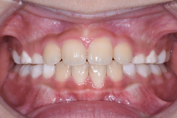
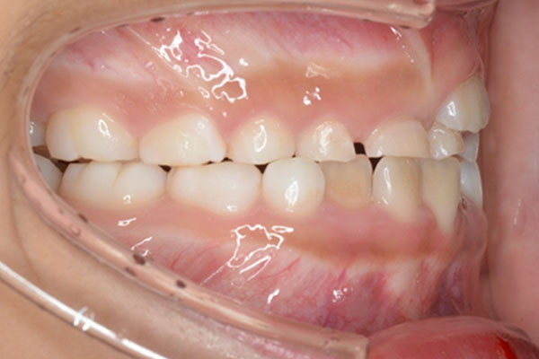
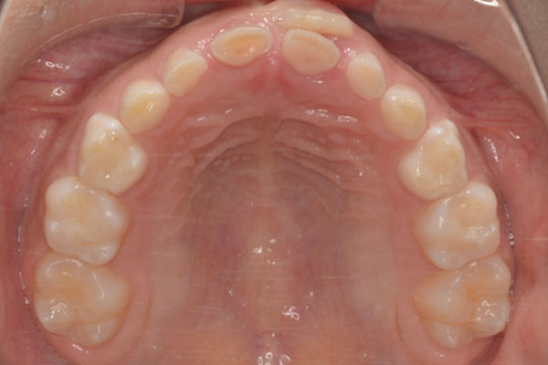
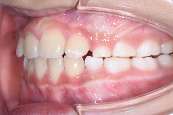
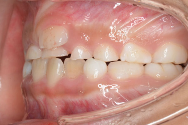
治療後
| 年齢と性別 | 7歳 男の子 |
|---|---|
| ご相談内容 | 「下の歯がガタガタではえてきたので治したい」とのことでご相談いただきました。 |
| カウンセリング・診断結果 | 拝見したところ、ご相談の通り下の歯がガタガタと生えている状態でした。専門的には下顎前歯部叢生(かがくぜんしぶそうせい)といい、歯が生えるスペースが足りないときや、悪い噛み癖などがあるときに起こりやすくなります。 |
| 行ったご提案・治療内容 | 日中はマイオブレースを用いた筋機能訓練を中心に、夜間にも装置を使用していただきました。 また拡大装置(バイオブロック)による矯正治療も併用し、歯がまっすぐ生えるスペースを獲得していきました。 |
| 治療期間 | 約2年 |
| おおよその費用 | ¥500,000 |
| 術後の経過・現在の様子 | ご相談にあった下の歯のガタガタは改善し、同時にかみ合わせも整えることができました。ご家族にも満足いただけました。 今後は生え代わりを待ち、必要があれば追加の治療を再開する予定となっています。 |
| 治療のリスクについて | 矯正により歯に痛みが出る場合があります。 矯正により歯がしみやすくなることがあります。 歯肉が退縮する場合があります。 矯正治療は後戻りする可能性があります。 装置が正しく使えない場合、中断する場合があります。 |


