ceramic 40代男性「詰め物が取れた」ジルコニアのインレーで白く治療した症例
2021.07.09
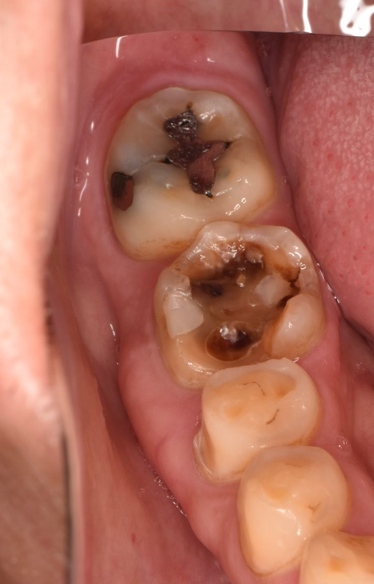
治療前
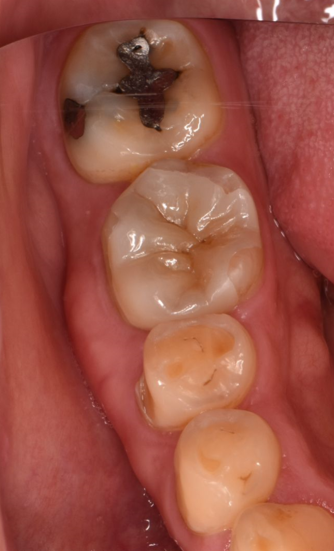
治療後
治療中詳細
| 年齢と性別 | 40代 男性 |
|---|---|
| ご相談内容 | 「詰め物がとれた」とのことでご相談いただきました。またむし歯になっている気もするとのことで治療も希望されました.。 |
| カウンセリング・診断結果 | 右下6番のインレーが外れてしまっていました。 外れてからは2年ほど放置していたとのことで、その場所にむし歯が進行していました。今回の治療ではなるべく長持ちする材料を使用してほしいとのご希望でした。 |
| 行ったご提案・治療内容 | むし歯の部分を丁寧に削り、ジルコニアによる部分的な詰め物をご提案しました。食いしばりが強いので耐久力にもすぐれたジルコニアを選択しました。 |
| 治療期間 | 約3週間 |
| おおよその費用 | ¥49,500 |
| 術後の経過・現在の様子 | 術後は痛みやしみる症状もなく、かみ合わせにもご満足いただけました。 |
| 治療のリスクについて | セラミックは使用環境によって外れてしまうことがあります。 セラミックも十分なメンテナンスを行わないと、周辺の歯から虫歯になる ことがあります。 強い食いしばりや硬度の高いものを誤って噛むと割れてしまうことがあ ります。 |


