beauty 20代女性「歯が黄色い、白くしたい」オフィスホワイトニングで白くした症例
2021.07.09
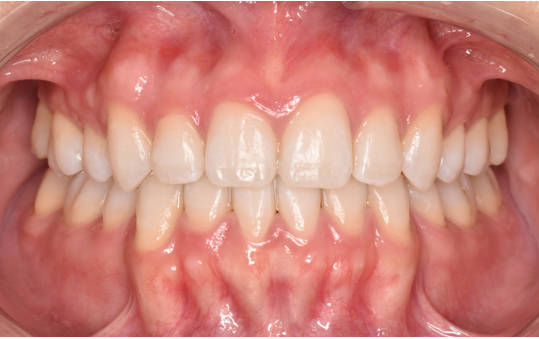
治療前
治療後
| 年齢と性別 | 20代 女性 |
|---|---|
| ご相談内容 | 「黄色みがかった歯を白くしたい」とご相談いただきました。 |
| カウンセリング・診断結果 | なるべく早く白くして、できるだけ白さを長持ちさせたいとのご希望でした。 |
| 行ったご提案・治療内容 | より短い時間で歯の白さを得るにはオフィスホワイトニングが効果的と考え、オフィスホワイトニングの3回コースをご提案しました。 |
| 治療期間 | 約3週間 |
| おおよその費用 | ¥55,000 |
| 術後の経過・現在の様子 | 術後はほとんどしみることもなく、想像よりも白くなったとご満足いただけました。 |
| 治療のリスクについて | 白さには限度があります。 白さには個人差があります。 ホワイトニングにより歯がしみる場合があります。 ホワイトニング経過中に色むらが出る場合があります。 ホワイトニング後は色戻りがあります。白さを保つには定期的にホワイトニングを行う必要があります。 妊娠中・授乳中の方は控えていただいております。 |


