general 20代男性「前歯の着色が気になる」保険のクリーニングで着色を除去した症例
2021.07.09
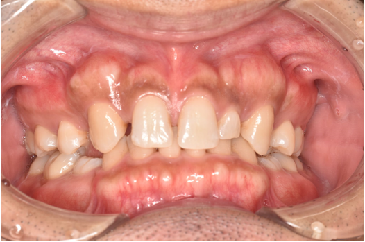
治療前
治療後
| 年齢と性別 | 20代 男性 |
|---|---|
| ご相談内容 | 歯の着色が気になるとのことでご来院いただきました。 |
| カウンセリング・診断結果 | ご相談の通り、前歯部の着色が見られました。 歯の着色は喫煙や色の濃い食べ物を食べ続けると起きやすくなります。 |
| 行ったご提案・治療内容 | ご希望としては歯を白くしたいというより、着色を取って自然な歯の色にしたいとのことでした。 そのため、ホワイトニングではなく、保険の範囲内で歯の着色を除去することにしました。 |
| 治療期間 | 検査も含め2週間程度 |
| おおよその費用 | 保険適用(1,000円~4,000円程度) |
| 術後の経過・現在の様子 | 着色を取ったことによって前歯の色は明るく白い印象になりました。 笑顔も明るくなり、大変満足していただけました。 |
| 治療のリスクについて | 今回行った着色除去は天然歯にのみ適応される処置になりますので、被せ物の変色などを除去することは出来ません。 |


