general 20代男性「歯石を取りたい」クリーニングで歯石を除去した症例
2021.07.09
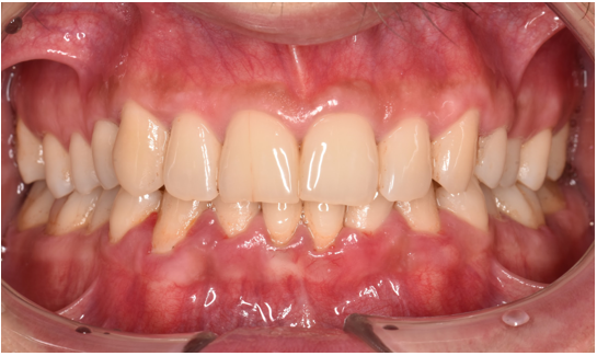
治療前
治療後
| 年齢と性別 | 20代 男性 |
|---|---|
| ご相談内容 | 「クリーニングをしてほしい」とのことでご来院されました。 |
| カウンセリング・診断結果 | 歯科医院に行ったことがないとのことで、厚みのある歯石の付着と着色が認められました。歯茎の下にも歯石が認められ、歯茎に炎症がありました。 |
| 行ったご提案・治療内容 | 歯茎の上の歯石から除去を行い、ブラッシング指導で歯茎の炎症を抑えつつ、4回に分け歯茎の下の歯石の除去を行いました。 |
| 治療期間 | 検査も含め約1か月 |
| おおよその費用 | 保険適用 |
| 術後の経過・現在の様子 | 術後はしみる症状もなく、すっきりしたとご満足いただけました。 |
| 治療のリスクについて | 一時的に歯がしみる症状が出ることがあります。 歯茎の炎症が治まり引き締まることで、歯茎が下がったように見えることがあります。 歯と歯の間を埋めるように歯石が付着していた場合、隙間ができることがあります。 |


