beauty 30代女性「歯を白くしたい」オフィスホワイトニングで白くした症例
2021.07.09
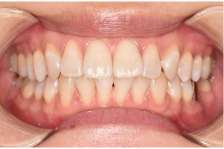
治療前
治療後
| 年齢と性別 | 30代 女性 |
|---|---|
| ご相談内容 | 「歯を白くしたい」とご相談いただきました。 |
| カウンセリング・診断結果 | すぐに目に見てわかる白さにしたいとのご希望でした。 |
| 行ったご提案・治療内容 | 初めてのホワイトニングということでしたので、安心して受けていただけるようオフィスホワイトニングをご提案しました。 他の人が見たときに気が付くような白さにするため、オフィスホワイトニング3回コースを行いました。 |
| 治療期間 | 約3週間 |
| おおよその費用 | ¥55,000 |
| 術後の経過・現在の様子 | 全くしみることなく希望通りの白さになったと、大変ご満足いただけました。 白さを保つために、ホームホワイトニングも行うかをご検討中です。 |
| 治療のリスクについて | 白さには限度があります。 白さには個人差があります。 ホワイトニングにより歯がしみる場合があります。 ホワイトニング経過中に色むらが出る場合があります。 ホワイトニング後は色戻りがあります。白さを保つには定期的にホワイトニングを行う必要があります。 妊娠中・授乳中の方は控えていただいております。 |


