ceramic 50代男性「銀歯を白くしたい」E-max のインレーで白くした症例
2021.07.09
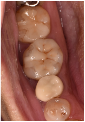
治療前
治療後
| 年齢と性別 | 50代 男性 |
|---|---|
| ご相談内容 | 「下の奥の銀歯を白く目立たないものにしたい」とご相談いただきました。 |
| カウンセリング・診断結果 | できるだけ目立たず、長持ちする材料を使用してほしいとのご希望でした。 |
| 行ったご提案・治療内容 | 透明感のある白で目立たず、ちょうどよい強度のあるE-maxをご提案しました。 |
| 治療期間 | 約3週間 |
| おおよその費用 | ¥49,500 |
| 術後の経過・現在の様子 | 自然な白さで噛み合わせも問題ないとご満足いただけました。 |
| 治療のリスクについて | セラミックは使用環境によって外れてしまうことがあります。 セラミックも十分なメンテナンスを行わないと、周辺の歯から虫歯になることがあります。 強い食いしばりや硬度の高いものを誤って噛むと割れてしまうことがあります。 |


