general 30代男性「歯の茶渋が気になる」保険のクリーニングで着色除去をした症例
2021.09.03
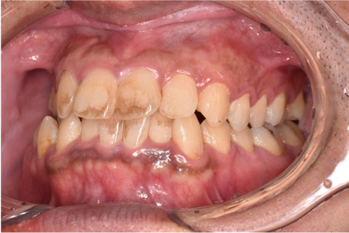
治療前
治療後
| 年齢と性別 | 30代 男性 |
|---|---|
| ご相談内容 | 「歯についた茶渋が気になるので取ってほしい」とのことでご相談いただきました。 |
| カウンセリング・診断結果 | 拝見したところ、ご相談の通り歯面に着色が付着している状態でした。 全顎ステイン(+++) |
| 行ったご提案・治療内容 | ご本人はホワイトニングまで考えられていないとのことでしたので保険の範囲内での着色除去をご提案しました。 初診時に問診を行い、歯肉縁上歯石を除去後に歯面清掃を行いました。 |
| 治療期間 | 1日 |
| おおよその費用 | 保険適応 |
| 術後の経過・現在の様子 | ご相談いただいた、歯に付着した着色を除去しとても満足いただきました。 |
| 治療のリスクについて | コーヒー、紅茶など飲まれる方は定期的に着色除去が必要です。 歯、本来の色は取り戻せるがこれ以上白くしたいということであれば、ホワイトニングが必要となります。 |


