child-ortho 7歳女の子「上の前歯がガタガタ」マイオブレースとバイオブロックを使用した患者の治療経過
2022.08.16
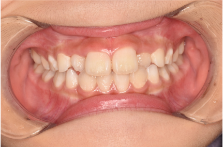
治療前
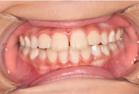
治療後
| 年齢と性別 | 7歳 女の子 |
|---|---|
| ご相談内容 | 「上の前歯が奥に入ったり、手前に出てきたりしてガタガタ。かみ合わせも上下反対になっている」と保護者様が、お子様のお口の状況を気にされてご来院をいただきました。 |
| カウンセリング・診断結果 | お口の中を確認したところ、左側の前歯の一部(側切歯/B)のかみ合わせが上下反対になっていました。 矯正治療のための精密検査を行った結果、骨格に大きな問題はありませんでした。そのためご相談にあった前歯のガタガタに関してはスムーズに矯正を進めることができると判断しました。 ただ、犬歯(C)が生えている状況(萌出状況)を見ると今後、永久歯が生えた段階で「永久歯列の矯正(2期治療)」を行う必要性が生まれるかもしれないと考えました。 |
| 行ったご提案・治療内容 | 治療前に「矯正の期間としては1年~1年半かかる」ということと、「乳歯の段階で矯正した後、永久歯が生えた段階でも治療が必要になるかもしれない」ということをお伝えし、理解していただきました。その上で下記の治療計画をご提案しました。 ①まずは、マウスピースとお口のトレーニングで矯正を進める小児向けの治療法「マイオブレース」を実施。正しい呼吸の方法や、舌の使い方、飲み込み方の練習のほか、唇の筋力トレーニングなどで悪い習慣や癖を直します。 ②その後、経過を観察しながら「上顎拡大装置」という機器を使って上顎の骨を拡大する治療を行います。夜間には上顎骨の成長を改善するための「上顎牽引装置」を使用する可能性もあります。 ③最終的にはインビザラインを使用して歯を適切な位置に移動させ、歯並びを整える矯正治療を行います。 以上、説明内容に納得していただいた上で計画通りに治療を進めました。 |
| 治療期間 | 1年2ヶ月(2022年6月時点) ※掲載時点は治療中 |
| おおよその費用 | ¥35,000(矯正精密検査代)<br>¥550,000(乳歯の矯正治療である「1期治療」のみ) |
| 術後の経過・現在の様子 | マイオブレース使用時間を守っていただき、口腔機能トレーニングに真面目に取り組んでいただいたので、歯並びがきれいに整いました。 ご本人含め、ご家族には「きれいになってきた!」と、ビフォーアフターの結果にとても喜んでいただいております。 現在は後戻りが起きないよう、保定装置(リテーナー)を使っているほか、定期的に来院いただき治療状況を確認しています。 |
| 治療のリスクについて | ・マイオブレースの使用時間、口腔機能トレーニングの取り組み時間が、きれいな歯並びの獲得に影響するため、患者様や保護者様のご協力が必要不可欠です ・装置の使用を十分にできない場合は中断する可能性もあります ・マイオブレースや上顎拡大装置の使用時に歯や周りの組織(歯肉など)に痛みを伴う可能性があります ・永久歯が生えてきたときの状況によって、再度歯並びが悪くなる場合は「2期治療」が必要になる可能性があります ・すべての矯正において後戻りの可能性があります |


