general 40代男性「前歯の詰め物の色を治したい」変色していた歯頚部の詰め物をCR(保険治療)で白くした症例
2022.07.29
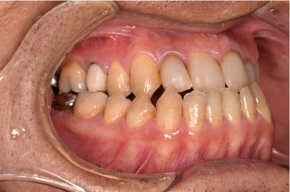
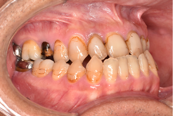
治療前
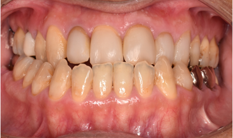
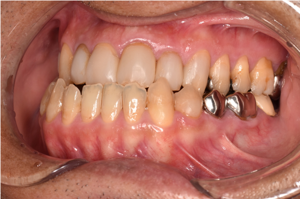
治療後
| 年齢と性別 | 40代 男性 |
|---|---|
| ご相談内容 | 「前歯の詰め物の色が気になるので治したい」とご相談いただきました。 |
| カウンセリング・診断結果 | 診察したところ、全体的に歯頚部(歯茎から見えている歯の部分と歯茎に埋まっている部分の境目)の詰め物が変色していました。 保険治療の範囲内で、笑った時に見える部分は全て治療したい、とのご希望でした。 |
| 行ったご提案・治療内容 | 保険の白い詰め物(CR)で治療を行いました。 CRはコンポジットレジンとも呼ばれる歯科用プラスチックです。 神経に近く、麻酔が必要な部位が複数か所あったため、6回に分けて治療を行いました。 |
| 治療期間 | 約1ヶ月 |
| おおよその費用 | 保険適用 |
| 術後の経過・現在の様子 | きれいになったと大変ご満足いただけました。 現在は定期検診とクリーニングのため、3ヶ月ごとにご来院いただき、メンテナンスを行っています。 |
| 治療のリスクについて | ・十分なメンテナンスを行わないと、周辺から虫歯になることがあります。 |


