beauty 40代女性「歯の色が気になる」全体的に暗かった歯の色をホワイトニングで審美的に回復した症例
2022.07.29
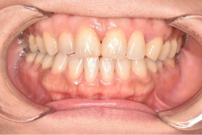
治療前
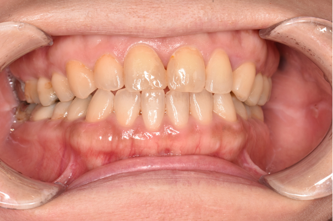
治療後
| 年齢と性別 | 40代 女性 |
|---|---|
| ご相談内容 | 「人前に出た時に歯が黄色く目立つので、ホワイトニングをしてみたい」とご相談いただきました。 |
| カウンセリング・診断結果 | 診察したところ、全体的に歯のお色味が暗い状態でした。 審美的な改善をご希望の場合、ホワイトニングが必要であることをお伝えしました。 |
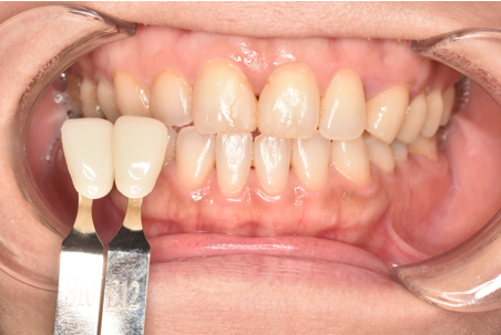
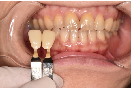
| 行ったご提案・治療内容 | ホームホワイトニングとオフィスホワイトニングを同時期に行うデュアルホワイトニングをご提案しました。 患者様にも治療方針にご納得していただけました。 |
| 治療期間 | 約3週間(ホームホワイトニングは継続中) |
| おおよその費用 | オフィスホワイトニング3回コース:¥55,000<br>ホームホワイトニング(トレー・ジェル含む):¥33,000 |
| 術後の経過・現在の様子 | 治療前に比べ、透明感が増し、艶やかな歯のお色味になり、患者様に大変喜んでいただきました。 前歯の詰め物との色の差が目立つようになってしまったので、患者様のご希望により、今後は部分的なセラミック治療をする予定です。 |
| 治療のリスクについて | ・白くなる程度には限度があります。 ・白くなる程度には個人差があります。 ・ホワイトニングにより歯がしみる場合があります。 ・ホワイトニング経過中に色むらが出る場合があります。 ・ホワイトニング後は色戻りがあります。白さを保つには定期的にホワイトニングを行う必要があります。 ・妊娠中・授乳中の方はホワイトニングは控えていただいています。 |


