ceramic 30代女性「右上の金属が入っている部分が痛む」むし歯と神経の治療後にジルコニアクラウンを被せた症例
2022.06.30
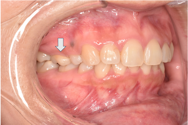
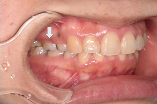
治療前
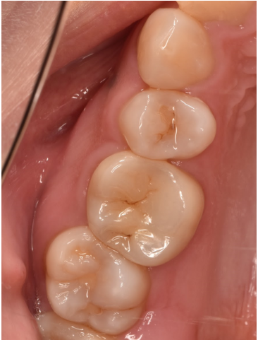
治療後
| 年齢と性別 | 30代 女性 |
|---|---|
| ご相談内容 | 「右上の金属が入っている部分が痛む」とご相談いただきました。 |
| カウンセリング・診断結果 | 診察したところ、右上の歯の金属の下でむし歯が進行し、神経にまで達している状態でした。 |
| 行ったご提案・治療内容 | まずは、むし歯と神経の治療を行いました。 被せ物は、耐久性に優れている素材を患者様がご希望されたため、中の土台はファイバーコアを使用し、被せ物にはジルコニアクラウンをご提案しました。 ファイバーコアは、白く、歯に自然な透明感を出してくれる素材です。ジルコニアクラウンは、人工ダイヤとも呼ばれるほど高い強度を持つ素材です。 より自然に仕上げるために、隣の歯の色に合うように丁寧に調整を行い、被せました。 |
| 治療期間 | 約2ヶ月 |
| おおよその費用 | ¥110,000- |
| 術後の経過・現在の様子 | 痛みや違和感もなく、食事もしっかり噛むことができていると喜んでいただけました。 現在は、定期健診でご通院いただいています。 |
| 治療のリスクについて | ・セラミックは使用環境によって外れてしまうことがあります。 ・セラミックも十分なメンテナンスを行わないと、周辺の歯から虫歯になることがあります。 ・強い食いしばりや硬度の高いものを誤って噛むと割れてしまうことがあります。 ・治療が終了しても、メンテナンスとして約3ヶ月に一度の定期検診をご案内しております。 |


